Unser Behandlungsspektrum
Unser breites Behandlungsspektrum deckt die meisten Bereiche der Zahnmedizin ab, und unsere langjährige Erfahrung hilft uns bei der genauen Beurteilung Ihrer individuellen Situation und Behandlungsmöglichkeiten.
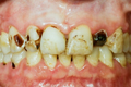
Im folgenden beschreiben wir diese Behandlungsmöglichkeiten zu Ihrer Information und zeige Ihnen an vielen repräsentativen Fällen mit illustrativen Bildern zu jedem der unten aufgelisteten Themen unsere eigenen Erfahrungen und die zu erwartenden Resultate.
Alle präsentierten Fälle stammen alle von Arbeiten, die ich oder meine Tochter Dr. Vanessa Gisler durchgeführt haben. Über die entsprechenden Links sind zu allen Themen viele Informationen verfügbar.
Ihr Dr. Gottfried Gisler













