Mundhygiene, Prophylaxe & parodontale Zahnbehandlungen
Unter Zahnprophylaxe versteht man alle Massnahmen, die dazu beitragen, Zähne und Zahnfleisch gesund zu erhalten. Karieserkrankungen der Zähne und Erkrankungen des Zahnfleisches und Zahnhalteapparates haben ihre gemeinsame Ursache in der bakteriellen Zahnplaque. Deshalb ist das Ziel der Zahnprophylaxe eine möglichst plaque- und zahnsteinfreie Mundhöhle. Dieses Ziel kann nur durch geeignete Mundhygienemassnahmen erreicht werden.
Eine gute Mundhygiene beinhaltet die regelmässige und gründliche Entfernung von Speiseresten und Plaque, um Karies, parodontalen Erkrankungen und Mundgeruch vorzubeugen. Dies geschieht durch regelmässiges Zähneputzen mit einer fluoridhaltigen Zahnpaste und einer nicht zu harten Zahnbürste, die Verwendung von Zahnseide einmal am Tag (am besten am Abend), Mundspülungen und einmal wöchentlich ein Fluorid-Gel. Auch die richtige Zahnputztechnik ist ässerst wichtig, wie Ihnen mein Fall 1 zeigt.
Diese Massnahmen, die jeder zu Hause durchführen kann, ergänzend, sollten Sie in regelmässigen Zeitabständen eine professionelle Zahnreinigung durch uns durchführen lassen. Sehen Sie dazu meine Empfehlungen zur Dentalhygiene.
Nota Bene
Auch der langfristige Erfolg bereits bestehender zahnmedizinischer Sanierungen (Füllungen, Implantate, Kronen, usw.) hängt von einer guten Mundhygiene ab!
Ob eine Zahnfüllung gelegt (Konservierende Zahnmedizin), eine Krone oder Brücke zementiert (Kronen und Brücken), eine Teilprothese eingesetzt (Prothetik) oder Implantate in den Knochen einoperiert werden (Implantologie), die besten Voraussetzungen für ein gutes Gelingen sind ein gesundes Zahnfleisch (Gingiva) und ein gesunder Zahnhalteapparat (Parodont).
Jede aufbauende Arbeit im Munde, von der kleinsten Zahnhalsfüllung eines Zahnes bis hin zum anspruchsvollsten, festsitzenden Zahnersatz, setzt für einen langfristigen Erfolg zwei Dinge voraus:
- ein gutes Fundament und einen gesunden Untergrund (gesundes Parodont)
- eine optimale Mundhygiene und Zahnprophylaxe.
Parodontale Behandlung (Punkt 1) (dafür ist der Zahnarzt und sein Team zuständig):
Die parodontale Behandlung umfasst alle Massnahmen von der Zahnsteinentfernung über Zahnfleischtransplantate bis hin zur Regeneration von Knochentaschen an Zähnen (s. Fall 1 Mukogingivalchirurgie), die nötig sind, um ein gesundes Fundament zu schaffen, was für die Zähne nichts anderes bedeutet als:
- entzündungsfreies, nicht blutendes Zahnfleisch (klinisch feststellbar) und
- taschenfreier Knochen um Zähne und Implantate (klinisch und röntgenologisch feststellbar).
Die parodontale Behandlung in unserer Praxis bedient sich neuester Erkenntnisse und Techniken der Zahnmedizin, der sogenannten photodynamischen Therapie mittels Laser.
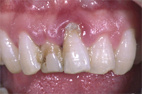
Die Abb. 1 bis 4 sollen als anschauliche Beispiele für gesunde und kranke Fundamente dienen.
|
|
|
|
|
|
Mundhygiene (Punkt 2) (Hier sind Sie dran!):
Sie werden von unserem Team, der Dentalhygienikerin (DH), Prophylaxeassistentin (PA) sowie vom Zahnarzt genau unterrichtet, welche individuellen Pflegemassnahmen zur Gesunderhaltung von Zähnen, Zahnfleisch und Zahnersatz Sie täglich ausüben müssen.
In regelmässigen Kontrollsitzungen, deren Zeitabstände wir mit Ihnen individuell festlegen (von vierteljählich bis jährlich im allgemeinen), wird der Gesundheitszustand Ihres Kauorgans kontrolliert und wiederhergestellt (s. Empfehlungen zur Dentalhygiene).
PS: Selbstverständlich gehören zum Fundament auch gesunde, entzündungsfreie Zahnwurzeln, was ich aber separat im Kapitel Endodontie abhandle und erkläre.
| weiter zu Fall 1 --» | «-- zurück zur Übersicht |



