Prophylaxe: Fall 2
|
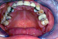
Um Riesenlöcher (Karies) in den Zähnen zu vermeiden (Abb. 1), geben wir Ihnen auch eine umfassende Information über Ernährung. Wir erklären Ihnen die Zusammenhänge, wann der Genuss von Süssigkeiten für Ihre Zähne verheerende Folgen haben kann und unter welchen Umständen überhaupt keine Zahnschäden entstehen müssen. Ist eine Karies allerdings einmal vorhanden, muss sie unbedingt behandelt werden. Wie, das erklären wir Ihnen gerne im Kapitel Konservierende Zahnmedizin.
|
|
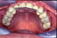
Und schliesslich geht es in der Zahnprophylaxe immer auch darum, den Zustand nach einer Zahnsanierung durch entsprechende individuelle Informationen und Instruktionen gesund zu erhalten wie das in den Abb. 2 und 3 gezeigt wird.
|
|
|
| weiter zu Empfehlungen zur Dentalhygiene --» | «-- zurück zu Fall 1 |


