Prophylaxe: Fall 1
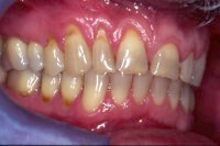
Durch jahrelange falsche Zahnputztechnik hat dieser Patient sein Zahnfleisch auf der einen Oberkieferseite (Abb. 1) richtiggehend zurückgeschrubbt (Zahnfleischrezession). Zudem ist im Zahnhalsbereich (Abb. 2) viel gesunde Zahnhartsubstanz weggefegt worden (keilförmige Defekte). Es wundert darum kaum, dass so freiliegende Zahnhälse empfindlich weh tun können. Auf der Oberkiefergegenseite sind Zähne und Zahnfleisch gesund geblieben und wir sagen Ihnen auch warum (kleiner Tip: mit welcher Hand putzen Sie Ihre Zähne?). Unter dem Kapitel Mukogingivalchirurgie erfahren Sie, ob und wie solche Zahnfleischverluste therapierbar sind.
Wir informieren Sie bei Ihrem nächsten Besuch gerne, ob Sie eine elektrische oder eine Handzahnbürste anwenden sollten und welche Zahnreinigungstechniken und Zahnpasten schonungsvoll zu Ihren Zähnen sind. Wir sagen ausserdem auch, wann ein Zahnstocher absolut verboten ist und in welchen Fällen er gute Dienste leisten kann.
|
|
|
| weiter zu Fall 2 --» | «-- zurück zu Prophylaxe |

