Die konservierende Zahnmedizin ist die Grundlage für alle anderen Gebiete der Zahnmedizin ausser der Chirurgie. Man versucht die Zähne gesund zu erhalten, indem man kariöse Zahnsubstanz enfernt und durch ein plastisches Material ersetzt, respektive den entstandenen Defekt auffüllt. Darum spricht man in der Umgangssprache vom "Flicken von Löchern" oder von Füllungen.
Ist eine Karies gross, beziehungsweise sehr tief, so dass bereits der Zahnnerv durch die Karies oder einen grossen Substanzverlust geschädigt worden ist, muss eine Wurzelbehandlung durchgeführt werden. Die Behandlung der Zahnwurzel und des Nerves bezeichnet man als Endodontie.
Ob das Füllunsmaterial Komposit, reines Porzellan oder eine Kombinaton von beiden ist, immer wird von uns die totale adhäsive Füllungstechnik angewendet (die sogenannte Full Bond Technik). Der Grund dafür ist, dass damit die gesunde Restsubstanz des Zahnes sehr schonungsvoll bearbeitet werden kann.
Für Informationen mit speziellem Bezug zu Amalgam, verweisen wir Sie gerne auf das Thema Amalgamersatz.
Endodontie ist im Volksmund die Zahnwurzelbehandlung. Stirbt ein Zahn aus irgendeinem Grund ab, gibt es im allgemeinen Schmerzen, und der Zahn muss entweder gezogen oder - wenn er erhalten werden soll - wurzelbehandelt werden. Die häufigsten Ursachen für das Absterben eines Zahnes sind:
Bei einer Wurzelbehandlung wird das Zahnmark (Pulpa), also das Weichgewebe eines Zahnes vollkommen bis zur Wurzelspitze (Apex) entfernt (siehe dazu auch Kapitel Endodontie mit Laser). Die durch die Ausräumung der abgestorbenen Pulpa entstandenen Hohlräume im Zahninneren werden dann mit einer sterilen Wurzelfüllpaste abgefüllt.
Das Ziel einer Wurzelbehandlung ist die Erhaltung des Zahnes, wobei er schmerzfrei, keimfrei und entzündungsfrei funktionstüchtig sein muss. Der Weg dazu ist die sterile Wurzelfüllung aller Wurzelkanäle bis hin zur Wurzelspitze.
Es erstaunt nicht, dass die häufigsten Misserfolge von Wurzelbehandlungen sogenannte insuffiziente Wurzelfüllungen sind, also solche, die nur einen Teil der Wurzelkanäle abfüllen. Im restlichen, nicht abgefüllten Wurzelkanal verbleibt das abgestorbene Zahnmark, das als totes, eigenes Gewebe immer einerseits eine Entzündung auslöst und anderseits wird dieses marktote Gewebe von Fäulnisbakterien besiedelt, die eine Infektion im Knochen verursachen. Im Röntgenbild bezeichnet man einen solchen Herd als Zahngranulom (dunkle Flecken an der Wurzelspitze des Zahnes).
Die Infektion eines solchen Zahngranuloms im Knochen kann chronisch verlaufen, tut kaum weh, kann aber andere Organe im Körper über die Blutbahnen anstecken (infizieren) oder akut verlaufen, was mit irrsinnigem Zahnweh bis zum Abszess verbunden ist. Somit ist verständlich, dass tote, sogenannt devitale Zähne bei einem allgemein zahnärztlichen Untersuch geröntgt werden müssen, auch wenn sie nicht weh tun. Anhand zweier Fallbeispiele wollen wir das Thema Endodontie erläutern:
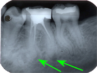
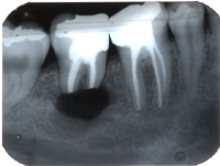
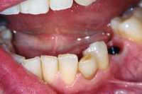
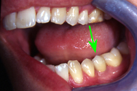
Ein 32 Jahre alter Mann kommt im November 1984 mit Zahnweh am unteren linken, zweithintersten Molaren (Backenzahn) in die Praxis. Das Röntgenbild von Abb. 1 zeigt insuffiziente Wurzelfüllungen bei allen drei Wurzelkanälen und an den Wurzelspitzen sogenannte Granulome, sichtbar als schwarze Flecken (grüne Pfeile in Abb. 1).
Therapie: Der Patient möchte den Zahn erhalten. In einem kurzen Gespräch erklären wir die Ursache des Zahnwehs (insuffiziente Wurzelbehandlung) und die Behebung des Leidens mit folgenden Therapieschritten:


Gelingt es, die drei Ziele (schmerzfrei, entzündungsfrei, keimfrei) mittels der Wurzelbehandlung zu erreichen, werden die Zahngranulome innerhalb von sechs Monaten automatisch verschwinden und es bildet sich wieder gesunder Knochen um die Wurzelspitzen.
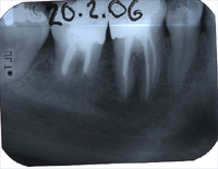
In Abb. 2 ist das Röntgenbild 22 Jahre nach korrekter Wurzelbehandlung mit dem nun überkronten Zahn zu sehen. Der Knochen um die Wurzelspitzen ist entzündungsfrei gesund.
Bemerkung: Da in unseren Breitengraden Zahnwurzelfüllungen seit Jahrzehnten einen weissen Röntgenkontrast machen müssen, können suffiziente und insuffiziente Wurzelfüllungen im Röntgenbild leicht diagnostiziert werden.
Die operative chirurgische Wurzelbehandlung spielt dann eine wichtige Rolle, wenn der Zugang zu den Wurzelkanälen bis hin zur Wurzelspitze durch Verkalkungen im Kanal, abgebrochene Instrumente des Zahnarztes, Stiftkronen, extrem abgekrümmte Kanäle oder ähnliches blockiert ist. Ein solcher beherdeter Zahn muss entweder gezogen oder, sofern man ihn erhalten möchte, operativ chirurgisch wurzelbehandelt werden. Dies bedeutet nichts anderes als dass die Wurzelspitzen des Zahnes mit dem Infektionsherd chirurgisch abgetrennt werden. Der folgende Fall soll das Vorgehen bei dieser Technik erläutern.
Eine 31 Jahre alte Patientin hatte akute Schmerzen am zweithintersten Backenzahn im Unterkiefer rechts und kam am 26. März 1980 zu uns in die Praxis.
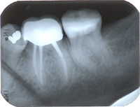
Im Röntgenbild von Abb. 3 ist ein gut erbsengrosses Granulom (Pfeil) an der Wurzelspitze eines toten, devitalen Zahnes feststellbar. Die Patientin wünschte die Erhaltung des Zahnes, zumal auch der vordere Nachbarzahn marktot und beherdet war. Abb. 4 zeigt das Röntgenbild nach der Wurzelfüllung.


Ein halbes Jahr später hat die Patientin sich dazu entschlossen, den vorderen beherdeten Zahn auch endodontisch behandeln zu lassen. An Abb. 5 wird im Röntgenbild die Wurzellänge mit Instrumenten bestimmt. Man gewinnt auch den Eindruck, dass der bereits vor einem halben Jahr wurzelbehandelte Zahn in Abheilung sei.
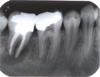
Wieder ein Jahr später machen wir ein Routineröntgenbild der beiden wurzelbehandelten Zähne und stelle beim hinteren Zahn einen beinahe haselnussgrossen Herd fest (Abb. 6). Der Zahn ist zwar schmerzfrei, aber sicher nicht entzündungs- und keimfrei; möglicherweise ist es sogar eine Zyste?


Die Situation konnte so nicht belassen werden. Es gab zwei Möglichkeiten:
Gemeinsam im Gespräch mit der Patientin wurde die Operation beschlossen. Allerdings war vorgängig noch etwas zu regeln: Die Prämolaren hatten kein angewachsenes Zahnfleisch (siehe Mukogingivalchirurgie), was für den operativen Zugang zu den Wurzeln einen negativen Aspekt für die Abheilung bedeutete.
Also wurde vorgängig ein Zahnfleischtransplantat einoperiert.
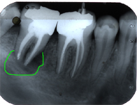
Jetzt erst konnte der operative Eingriff zur Erhaltung des zweithintersten Zahnes geplant werden. Abb. 7 zeigt das Röntgenbild direkt nach dem operativen Eingriff mit den entfernten Wurzelspitzen (schwarzes Loch auf dem Röntgenbild). In Abb. 8 erkennt man 23 Jahre später die beiden wurzelbehandelten Zähne mit absolut gesunden Knochenverhältnissen und schmerzfrei. Es war an diesen Zähnen kein einziger weiterer Eingriff in all den Jahren mehr nötig gewesen.


Warum aber war trotz perfekter Wurzelfüllung am hinteren Zahn noch ein operativer Eingriff nötig? Die Ursache liegt in der Anatomie des Zahnes. Es kommt nicht selten vor, dass neben dem Hauptwurzelkanal sogenannte Seitenkanäle vorhanden sind, die so klein sind, dass sie röntgenologisch nicht sichtbar werden. Diese Seitenkanäle, wie sie schematisch in Abb. 9 links zu sehen sind, gewinnen dann an Bedeutung, wenn der Zahn, wie in diesem Fall, seit längerer Zeit abgestorben ist (erbsengrosses Granulom zu Beginn der Behandlung).
Diese Seitenkanäle waren also bereits zu Beginn der Wurzelbehandlung infiziert, und können weder mechanisch mit Instrumenten aufbereitet noch chemisch mit medikamentösen Einlagen erreicht werden. Der einzig erfolgversprechende Weg ist die Kombination konservativer vorgängiger Wurzelbehandlung mit operativer Entfernung der Wurzelspitze mit den infizierten Seitenkanälen.

Unter allgemeiner zahnärztlicher Chirurgie versteht man die operative Entfernung tief frakturierter Zähne, verlagerter und überzähliger Zähne wie zum Beispiel Eck- und Weisheitszähne, Germektomie (d. h. operative Entfernung von Zahnkeimen). Ausserdem gehören auch die folgenden Gebiete dazu:
Die operativen Methoden erfordern, dass alle diese Probleme bei und in der Praxis unter erhöhten Hygienemassnahmen durchgeführt werden. Das Schwergewicht der allgemeinen zahnärztlichen chirurgischen Eingriffe liegt wohl in der Entfernung verlagerter Zähne, speziell der Weisheitszähne im Unterkiefer. Liegt der verlagerte Weisheitszahn so tief im Knochen, dass seine Wurzeln bis zum Teil an den Unterkieferrand reichen, lassen wir vorgängig der Operation ein sogenanntes CT (Computer-Tomogramm) erstellen, das uns die dritte, räumliche Dimension zum Verlauf der sensiblen Nerven im Unterkiefer zu den Wurzeln des Weisheitszahnes darstellt. Je nachdem, wo dieser Nerv verläuft, wird die Kraft zur Entfernung des Weisheitszahnes an verschiedenen Ansatzpunkten eingesetzt.
Obwohl dieser Nerv während der Operation nie verletzt wird, kann es aufgrund der engen Nachbarschaft des Nervkanals zu den Zahnwurzeln eine Blutung in den Kanal geben, was zu einer zwar zeitlich begrenzten, aber sehr unangenehmen Druckanästhesie der Lippe führt.
Eine junge Frau kommt zu uns, deren Gebiss orthodontisch behandelt wurde. Wenn die schöne Verzahnung nach der Zahnregulierung nicht durch einen durchbrechenden Weisheitszahn, der die Frontzähne wieder stark zusammenschieben oder nebeneinanderschieben könnte, in Frage gestellt sein soll, müssen die unteren Weisheitszähne vor einem allfälligen Durchbruch operativ entfernt werden.
Abb. 1 zeigt das klinische Bild vor der Aufklappung. Der Pfeil markiert die Stelle, wo der Weisheitszahn unter der Schleimhaut im Knochen liegt. Vor der Operation musste ein CT zur transversalen Lagebeurteilung des sensiblen, wichtigen Lippennerves zur Wurzelspitze des Zahnes angefertigt werden. In der CT-Schichtaufnahme von Abb. 2 wird ersichtlich, dass der Weisheitszahn sehr tief unten liegt.


Abb. 3 zeigt die Situation direkt nach Entfernen des Zahnes. Die Wundheilung erfolgte absolut problemlos. Zwei Monate später ist kaum noch zu sehen, dass doch ein recht massiver zahnchirurgischer Eingriff stattgefunden hat (Abb. 4).


Ein 14-jähriger Junge steht vor einer kieferorthopädischen Zahnregulierung. Als Zufallsbefund entdeckte die Orthodontin oberhalb der Wurzeln der Oberkieferfrontzähne einen sogenannten Mesiodens (Pfeile in Abb. 5), also einen überzähligen Zahn zwischen den Wurzeln der beiden mittleren Schneidezähne. Dieser überzählige Zahn soll vor Beginn der Zahnregulierung entfernt werden.
Da der Mesiodens sehr ungünstig liegt, ist die Entfernung ein ziemlich heikles Unternehmen, sollen die Blutversorgung und die kleinsten, kaum sichtbaren Zahnnerven, die von oben her über die Wurzelspitzen in die bleibenden Zähne gelangen, nicht verletzt werden.
Wir haben den Mesiodens operativ sorgfältig aufgesucht, in zwei Teile getrennt und entfernt. Der entstandene Hohlraum wurde sofort mit Knochenersatzmaterialien aufgefüllt. Die eigenen Oberkieferfrontzähne haben keinen Schaden durch den operativen Eingriff erlitten.


Ein 59 Jahre alter Patient kommt als Neuaufnahme 2005 zum ersten Mal in unsere Praxis. Wir machen routinemässige Röntgenaufnahmen aller marktoten, devitalen (abgestorbenen) Zähne. Im Röntgenbild von Abb. 1 entdecken wir eine ca. kirschgrosse Kieferzyste im Oberkiefer (grün umrandet in Abb. 7). Eine Zyste ist grundsätzlich ein pathologischer Hohlraum, gefüllt mit einer Flüssigkeit. Die Zyste wächst und wird kontinuierlich grösser wegen Innendruckzunahme. Kieferzysten sind gutartig.
Die Ursache dieser Zyste liegt in einer insuffizienten Zahnwurzelbehandlung (siehe Endodontie). Die Zyste muss operativ entfernt werden.
In diesem Fall haben wir den Zahn konservativ sowie chirurgisch endodontisch behandelt, den Zystenbalg operativ entfernt und den Hohlraum gleichzeitig mit Knochenersatzmaterial gefüllt. In Abb. 8 sieht man ein Röntgenbild knapp drei Monate nach der Behandlung der Zyste und der Zahnwurzel.


Bemerkung zu Kieferzysten: Sind Kieferzysten zu gross, wird der Zystenbalg nicht mehr, wie im obigen Fall, entfernt, weil dadurch viele Nachbarstrukturen geschädigt würden, sondern man eröffnet die grossen Kieferzysten im Oberkiefer zur Kieferhöhle (Sinus Maxillaris) und/oder Nasenhöhle hin und im Unterkiefer zur Mundhöhle hin.
Kieferzysten wachsen unbehandelt konstant und unter Innendruckzunahme weiter. Kleinere Zysten werden mit dem Zystenbalg komplett entfernt und ihre Ursache behoben (siehe Endodontie). Grosse Kieferzysten hingegen werden in ihrem grössten Umfang im Unterkiefer zur Mundhöhle und im Oberkiefer zur Nasen- und/oder Kieferhöhle hin eröffnet.
Die grösste in unserer chirurgischen Tätigkeit operierte Zyste reichte vom Unterkieferweisheitszahn der linken Seite bis zum Eckzahn der Gegenseite. Man kann sich leicht vorstellen, dass bei einer Infektion eines so gewaltigen, mit Flüssigkeit gefüllten Hohlraumes, sei es über die Blutbahnen oder via Eintrittspforte eines Zahnes (marktoter Zahn oder parodontale Tasche), dramatische Zustände entstehen. Der ganze Hohlraum wird zum Abszess.
Nach der Operation zur Entfernung der Zyste wächst der durch die Zyste verloren gegangene Knochen wieder nach, was aber, je nach Grösse der Zyste, eine Heilungszeit von einem halben Jahr bis zu einem Jahr bis zur vollen Regeneration braucht. In den ersten Monaten nach der Operation sind natürlich wegen Bruchgefahr des geschwächten Kiefers sämtliche Risiko-Sportarten, wo Schläge ins Gesicht erfolgen können (Boxen, Karate, Fussball, Skifahren, etc.) absolut verboten. Auch das herzhafte Reinbeissen in einen knackigen Apfel oder in ein Bürlibrot ist tunlichst zu unterlassen.
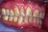
Bis vor 20 Jahren war Amalgam das bevorzugte Füllungsmaterial bei Zahnsanierungen. Der Vorteil von Amalgam lag in der relativ einfachen, auch unter schwierigen Bedingungen im Mund weitgehend fehlerfrei möglichen Verarbeitung und in seiner langen Haltbarkeit. Zudem ist Amalgam erheblich billiger als moderne Füllungskunststoffe. Deren Vorteile überwiegen heute aber definitiv und liegen z. B. in der zahnähnlichen Farbe, in der Möglichkeit einer adhäsiven Befestigung an der Zahnsubstanz und damit in einer minimal-invasiven Zahnmedizin. In unserer Praxis werden seit den frühen 90er Jahren ausschliesslich zahnfarbene Materialien in der konservierenden Zahnmedizin verwendet.
Das Hauptproblem von Amalgam ist sein Quecksilberanteil. Quecksilber ist Gift für unseren Körper. Da das Quecksilber im Amalgam allerdings in einer stabilen Legierung vorliegt, ist sich die Forschung über die Schädlichkeit von Amalgam nicht einig. Im Dezember 2004 wurde eine Studie des "Life Sciences Research Office" der USA veröffentlicht, die in allen relevanten Forschungsarbeiten seit 1996 keinen Nachweis der Gefährdung durch Amalgamfüllungen gefunden hat. Auf der anderen Seite hingegen kam eine aktuelle und umfassende Studie mit dem Titel Amalgam: Eine Risikobewertung unter Berücksichtigung der neuen Literatur bis 2005 vom Institut für Krankenhaushygiene der Universitätsklinik Freiburg zu dem Schluss: "Aufgrund der Berücksichtigung aller verfügbaren Daten kann Amalgam weder medizinisch, arbeitsmedizinisch noch ökologisch als sicheres Zahnfüllungsmaterial bezeichnet werden."
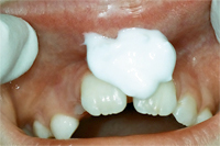
Will ein Patient - aus welchen Gründen auch immer - alle seine alten Amalgamfüllungen ersetzt haben, so legen wir einen absolut dichten "Non-Latex"-Kofferdam im Mund, wie im nachfolgenden Fallbeispiel gezeigt, und gehen normalerweise die Situation quadrantenweise an. Gehört ein Patient eher zur Gruppe der Allergiker, empfehlen wir vorgängig einer Sanierung unsere Materialien durch einen von uns empfohlenen Alternativmediziner auf Verträglichkeit testen zu lassen.
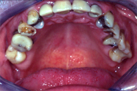
Das Anliegen dieser Patientin war es, ihre alten Amalgamfüllungen ersetzt zu haben. Die alten Amalgame sind in Abb. 1 gut sichtbar. Unser Vorgehen bestand zuerst darin, einen absolut dichten "Non-Latex"-Kofferdam im Mund zu legen, wie es in Abb. 2 gezeigt wird, um zu verhindern, dass Amalgamstücke oder -staub in den Körper gelangen. Die herausgenommenen Amalgamreste werden von uns in sogenannten Amalgamabscheidern gesammelt und müssen als Schwermetall entsorgt oder recycelt werden.
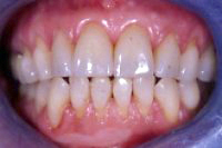
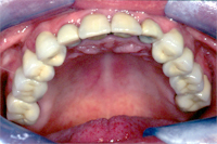
In Abb. 3 ist das Resultat der Behandlung zu sehen. Alle Amalgamfüllungen wurden durch zahnfarbene Kompositfüllungen ersetzt.



Seit über 25 Jahren sind wir in vielen Zürcher Seegemeinden als Schulzahnarzt tätig und betreuen die Kinder in Karies- und Parodontalprophylaxe sowie -therapie vom Kindergartenalter bis zum Schulabgang.
Wir instruieren und zeigen den Eltern, was sie an Zahnprophylaxe im Vorkindergartenalter zu tun haben, um die Milchzähne ihrer Kinder gesund zu erhalten.
Die Eltern bekommen im Rahmen des schulzahnärztlichen Untersuches auch die Empfehlung, ob und zu welchem Zeitpunkt eine Zahnregulierung beim Spezialisten (Kieferorthopäden) wünschenswert oder nötig ist. Unsere Praxis arbeitet sehr eng mit allen Kieferorthopäden der Region aber auch mit Spezialisten der Stadt Zürich zusammen.

Verabreicht wird N2O in einer auf den individuellen Patienten abgestimmten Dosierung über eine kleine Nasenmaske. Im Gegensatz zu andern Narkosemitteln wie beispielsweise Beruhigungstabletten tritt die Wirkung von Lachgas schnell ein, ist gut kontrollierbar und verflüchtigt sich innert Minuten nach der Behandlung wieder komplett.
Was ist zu beachten?
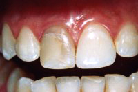
Ein seitlicher Oberkieferschneidezahn ist als sogenannter Zapfenzahn (angeboren) in die Mundhöhle durchgebrochen (Abb. 1). Nach orthodontischer Zahnbehandlung haben wir dem 16 Jahre alten Mädchen den Vorschlag gemacht, mittels zwei adhäsiv gelegten Kompositfüllungen und ohne Beschleifen den Zapfenzahn in einen natürlichen Schneidezahn umzuformen (Abb. 2).


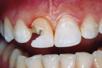
Ein 9-jähriges Mädchen kam eine Stunde nach einem Sturz, bei welchem es den linken oberen mittleren Schneidezahn komplett herausgeschlagen und den rechten massiv traumatisiert hatte (wackelte sehr stark), in unser Praxis (Röntgenbild Abb. 3). Der herausgeschlagene Zahn wurde sofort replantiert und beide mittleren Schneidezähne in die ursprüngliche Lage zurückversetzt und in dieser Situation mittels eines Drahtbogens an die Nachbarzähne fixiert (Röntgenbild Abb. 4).
Die verletzten Schneidezähne mussten beide wurzelbehandelt werden (Röntgenbild Abb. 5, siehe auch Kapitel Endodontie).



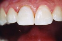
Einen Monat später haben wir beide Zähne intern gebleicht und dann die abgebrochenen Zähne wieder aufgebaut (Abb. 6 und 7).


Unter Zahnprophylaxe versteht man alle Massnahmen, die dazu beitragen, Zähne und Zahnfleisch gesund zu erhalten. Karieserkrankungen der Zähne und Erkrankungen des Zahnfleisches und Zahnhalteapparates haben ihre gemeinsame Ursache in der bakteriellen Zahnplaque. Deshalb ist das Ziel der Zahnprophylaxe eine möglichst plaque- und zahnsteinfreie Mundhöhle. Dieses Ziel kann nur durch geeignete Mundhygienemassnahmen erreicht werden.
Eine gute Mundhygiene beinhaltet die regelmässige und gründliche Entfernung von Speiseresten und Plaque, um Karies, parodontalen Erkrankungen und Mundgeruch vorzubeugen. Dies geschieht durch regelmässiges Zähneputzen mit einer fluoridhaltigen Zahnpaste und einer nicht zu harten Zahnbürste, die Verwendung von Zahnseide einmal am Tag (am besten am Abend), Mundspülungen und einmal wöchentlich ein Fluorid-Gel. Auch die richtige Zahnputztechnik ist ässerst wichtig, wie wir weiter unten zeigen.
Diese Massnahmen, die jeder zu Hause durchführen kann, ergänzend sollten Sie in regelmässigen Zeitabständen eine professionelle Zahnreinigung durch uns durchführen lassen. Sehen Sie dazu unsere Empfehlungen zur Dentalhygiene.
Nota Bene
Auch der langfristige Erfolg bereits bestehender zahnmedizinischer Sanierungen (Füllungen, Implantate, Kronen, usw.) hängt
von einer guten Mundhygiene ab! Jede aufbauende Arbeit im Mund, von der kleinsten Zahnhalsfüllung eines Zahnes bis hin zum anspruchsvollsten,
festsitzenden Zahnersatz, setzt für einen langfristigen Erfolg zwei Dinge voraus:
Die parodontale Behandlung umfasst alle Massnahmen von der Zahnsteinentfernung über Zahnfleischtransplantate bis hin zur Regeneration von Knochentaschen an Zähnen die nötig sind, um ein gesundes Fundament zu schaffen, was für die Zähne nichts anderes bedeutet als:
Die parodontale Behandlung in unserer Praxis bedient sich neuester Erkenntnisse und Techniken der Zahnmedizin, der sogenannten photodynamischen Therapie mittels Laser.
Die Abb. 1 bis 4 sollen als anschauliche Beispiele für gesunde und kranke Fundamente dienen.




Mundhygiene:
Sie werden von unserem Team, der Dentalhygienikerin (DH), Prophylaxeassistentin (PA) sowie vom Zahnarzt genau unterrichtet, welche
individuellen Pflegemassnahmen zur Gesunderhaltung von Zähnen, Zahnfleisch und Zahnersatz Sie täglich ausüben müssen.
In regelmässigen Kontrollsitzungen, deren Zeitabstände wir mit Ihnen individuell festlegen (von vierteljählich bis jährlich im allgemeinen),wird der Gesundheitszustand Ihres Kauorgans kontrolliert und wiederhergestellt (s. Empfehlungen zur Dentalhygiene).
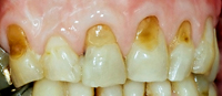
Dass die Zahnputztechnik wichtig ist, möchten wir anhand eines Beispiels zeigen. Durch jahrelange falsche Zahnputztechnik hat ein Patient sein Zahnfleisch auf der einen Oberkieferseite (Abb. 5) richtiggehend zurückgeschrubbt (Zahnfleischrezession). Zudem ist im Zahnhalsbereich (Abb. 6) viel gesunde Zahnhartsubstanz weggefegt worden (keilförmige Defekte). Es wundert darum kaum, dass so freiliegende Zahnhälse empfindlich weh tun können. Auf der Oberkiefergegenseite sind Zähne und Zahnfleisch gesund geblieben und wir sagen Ihnen auch warum (kleiner Tip: mit welcher Hand putzen Sie Ihre Zähne?). Unter dem Kapitel Mukogingivalchirurgie erfahren Sie, ob und wie solche Zahnfleischverluste therapierbar sind.


Wir informieren Sie bei Ihrem nächsten Besuch gerne, ob Sie eine elektrische oder eine Handzahnbürste anwenden sollten und welche Zahnreinigungstechniken und Zahnpasten schonungsvoll zu Ihren Zähnen sind. Wir sagen ausserdem auch, wann ein Zahnstocher absolut verboten ist und in welchen Fällen er gute Dienste leisten kann.
Um Riesenlöcher (Karies) in den Zähnen zu vermeiden (Abb. 7), geben wir Ihnen auch eine umfassende Information über Ernährung. Wir erklären Ihnen die Zusammenhänge, wann der Genuss von Süssigkeiten für Ihre Zähne verheerende Folgen haben kann und unter welchen Umständen überhaupt keine Zahnschäden entstehen müssen. Ist eine Karies allerdings einmal vorhanden, muss sie unbedingt behandelt werden. Wie, das erklären wir Ihnen gerne im Kapitel Allgemeine Zahnmedizin.

Und schliesslich geht es in der Zahnprophylaxe immer auch darum, den Zustand nach einer Zahnsanierung durch entsprechende individuelle Informationen und Instruktionen gesund zu erhalten wie das in den Abb. 8 und 9 gezeigt wird.


Ganz grundsätzlich legen wir mit unseren Patienten das Dentalhygiene-Intervall individuell fest. Auf jahrzehntelange Beobachtung und Erfahrung basierend können wir aber nachfolgende Intervalle zur Zahnreinigung und Zahnsteinentfernung generell empfehlen:
Wie wichtig eine gute Mundhygiene und Zahnprophylaxe ist, zeigt sich bei Patienten, die zur Zahnsteinentfernung eine antibiotische Abschirmung als vorbeugenden Schutz vor Bakterien benötigen (künstliche Gelenke, künstliche Herzklappen etc.): Hier versuchen wir natürlich ganz besonders, das Zahnsteinentfernungsintervall so weit als möglich hinauszuschieben, dass die Antibiotika zur Abschirmung (vier Tabletten: drei davon mindestens eine Stunde vor der Dentalhygiene-Sitzung, eine sechs Stunden nachher) nicht mehr als ein Mal pro Jahr eingenommen werden müssen.
Bleichen – oder auf Englisch Bleaching – sorgt für die strahlend weissen Zähne, die wir aus der Werbung und von Filmstars kennen. Der Stoff, der das strahlende Weiss bewirkt, ist dabei genau der gleiche wie der bei ihrem Friseur: Wasserstoffperoxid. Als Zahnärzte arbeiten wir natürlich mit viel geringeren Konzentrationen.
Vereinfacht gesagt löst das Wasserstoffperoxid Verfärbungen aus der Zahnsubstanz. Die Anwendung ist allerdings ganz unterschiedlich. Bei Zähnen ohne Nerven (devitale Zähne) wird die Bleichsubstanz für einen begrenzten Zeitraum im Zahn eingelagert. Bei Zähnen mit vitalen Nerven wird das Bleichmittel in eine Trägerschiene gebracht, die während einer Woche täglich jeweils 1-2 Stunden im Munde eingesetzt wird. Bei Interesse kommen Sie einfach vorbei, und wir erklären Ihnen alles gerne im Detail.
Achtung: Seit einiger Zeit sind Bleichpräparate in jeder Apotheke frei erhältlich. In der Werbung wird mit sagenhaften Resultaten über Nacht und bei einfachem Heimgebrauch gelockt. Wer jedoch keine Flecken oder Schäden an Zähnen und Zahnfleisch riskieren will, sollte das Bleichen lieber uns in der Praxis überlassen!
Wie erwä werden beim normalen Bleichen die Zäne von aussen her aufgehellt. Es zielt auf die Reinigung des Zahnschmelzes. Damit können gesunde Zähne aufgehellt werden.
Beim Bleichen kann es passieren, dass einzelne Zähne nicht heller werden. Oder aber ein einzelner Zahn ist seit längerem schon verdunkelt, bräunlich-grau oder grauschwarz. Ein solcher Zahn ist mit grosser Wahrscheinlichkeit abgestorben (devital) und wurzelbehandelt (siehe Endodontie). Ursächlich für die Verfärbung eines devitalen Zahnes kommen vor allem Blutabbauprodukte und Eiweisszerfallsstoffe aus der nekrotisch zerfallenen Pulpa (dem abgestorbenen Zahnmark) in Frage.
Für diese Zähne gibt es das interne Bleaching. Dabei werden verschiedene Komponenten zu einer Paste vermischt und in den Wurzelkanal eingebracht. Diese Einlage bleibt für einige Tage dicht abgeschlossen im Zahn, damit sie ihre Wirkung bis zum gewünschten Aufhellungsergebnis entfalten kann.
Abb. 1 zeigt einen devitalen, stark verfärbten unteren Frontzahn. Durch dreimaliges internes Bleaching und eine neue Füllung konnte er aufgehellt und an Farbe der anderen Zähne angepasst werden (Abb. 2). Die Behandlung dauerte dabei drei Wochen.


Nebst Bleaching gibt es weitere Methoden, um Verfärbungen an Zähnen zu behandeln. Anhand zweier Beispiele möchten wir Ihnen ein Gefühl für die Möglichkeiten geben.
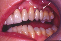
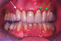
Ein rechter oberer, devitaler Schneidezahn bei einem 19-jährigen Mädchen ist stark verfärbt (Abb. 1). Der Zahn wird zuerst intern gebleicht, die alte Füllung unter Schonung der gesunden Eigensubstanz entfernt (Abb. 2) und dann mit einem weissen Zirkonoxydstift im Wurzelkanal und einer Kompositfüllung aufgebaut (Abb. 3). Der Zirkonoxydstift stabilisiert den Zahn gegen Bruch und erfüllt ästhetisch höchste Ansprüche.



Eine 58 Jahre alte Frau wollte ihre Oberkieferfrontzähne für möglichst wenig Geld (ohne Überkronung) einerseits heller machen und anderseits den Verlauf der mittleren Schneidezähne harmonisieren lassen (Abb. 1) (mehr zum Thema Lachbild / Frontzähne. Mit wenig Aufwand können diese Ansprüche in einer Sitzung zu einem schönen Resultat mittels adhäsiv fixierter Kompositüberzügen befriedigt werden (Abb. 2).


Nebst Verfärbungen erleben wir oft Fälle in unserer Praxis, bei denen Patienten durch eine Korrektur des Lachbildes viel Lebensqualität zurückgegeben werden kann. Das folgende Beispiel soll dies illustrieren.
Eine 49 Jahre alte Frau kam mit der Bitte, die unharmonisch schräg verlaufende Inzisallinie und den durch die zu kurzen Frontzähne offenen Biss (Abb. 1) so zu korrigieren, dass ein ästhetisches Resultat zustande kommen sollte.
Mit Porzellanhaftschalen (Veneers) auf den oberen mittleren vier Frontzähnen wird ein Resultat erreicht, das die Länge der Schneidezähne sowie den Schneidekantenverlauf korrigiert und höchste ästhetische Ansprüche befriedigt (Abb. 2).
Fünf Jahre später präsentieren sich die korrigierten Zähne wunderschön, wie in Abb. 3 gezeigt wird.



Unter Mukogingivalchirurgie versteht man alle chirurgischen Eingriffe am Zahnfleisch. Dabei geht es im wesentlichen um zwei Probleme:
Zu Punkt 1: Jeder Zahn und jedes Implantat braucht einen Kragen von angewachsenem, verhorntem Zahnfleisch, um gegenüber Kaukräften und Reinigungskräfen der Zahnbürste widerstandsfähig zu sein. Geht dieser festsitzende Zahnfleischkragen verloren, muss er chirurgisch wiederhergestellt werden. Dies geschieht im allgemeinen mit freien Zahnfleisch- oder kombiniert mit Bindegewebe-Transplantationen aus dem Gaumen.
Zu Punkt 2: "Das Zahnfleisch geht zurück" ist eine häufige, panische Aussage von Patienten, die Angst haben, Zähne zu verlieren. Sie verlieren deswegen keine Zähne, aber es können die entstandenen langen Zahnhälse ästhetisch sehr stören oder starke Empfindlichkeiten auslösen. Bevor aber hier zum Messer gegriffen wird, versuchen wir die Ursache des Zahnfleischrückganges (Zahnfleischrezession) an einem einzelnen Zahn oder an ganzen Zahngruppen herauszufinden. Nur wenn es gelingt, die Ursache herauszufinden und zu eliminieren, hat die Operation einer Zahnfleischrezession eine gute Langzeitprognose. In einem Gespräch werden wir Ihnen sagen, ob der Zahnfleischrückgang überhaupt operabel ist und wenn ja, werden wir Ihnen ganz genau sagen können, wo Ihr Zahnfleisch nach Abheilung der Operation stehen wird.
Zur Illustration folgt ein Fallbeispiel von multiplen Rezessionen im Oberkiefer. Speziell für diese Operationen bekommen Sie als unser Patient ein Merkblatt "Verhalten nach Zahnfleischrezessionsoperationen". Vor der Festlegung eines Operationstermines gehen wir mit Ihnen dieses Merkblatt Punkt für Punkt durch, um das Datum des Eingriffes optimal zu wählen. Das Befolgen der Anweisungen auf dem Merkblatt bis zwei Monate nach dem chirurgischen Eingriff ist für den Behandlungserfolg enorm wichtig.
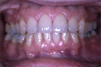
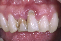
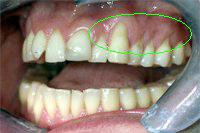
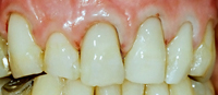
Ein 31 Jahre alter Patient zeigt einen starke Zahnfleisch-Rückgang im Oberkiefer (Abb. 1 und 3) und wir beschliessen, diese Rezessionen zu behandeln.
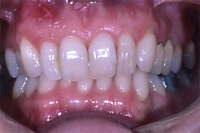
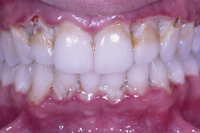
Der Erfolg der Behandlung ist deutlich in den Abb. 2 und 4 zu sehen. Sehr augenfällig konnte die Situation um den Eckzahn im linken Oberkiefer verbessert werden (vergleiche dazu Abb. 3 vorher und Abb. 4 nachher).




Die Laser-Zahnmedizin bietet eine alternative Therapie-Variante für sehr viele Bereiche der klassischen Zahnmedizin und hat die Vorteile der kontaktfreien und schmerzarmen zahnmedizinische Behandlungen ohne Anästhesie mittels verschiedener Lasersysteme. Die Wahl des richtigen Lasers und korrekte Systemeinstellungen sind dabei entscheidend.
Lasern statt Bohren: Die konventionelle, adhäsive Füllungstechnik (Klebetechnik) in Kombination mit einer Präparation durch den Erbiumlaser bietet das Optimum an derzeit möglicher konservierenden Zahnmedizin - äusserst exakt, steril und schmerzarm.
Zu den wichtigen Anwendungsgebieten gehören die Photodynamische Therapie sowie die Laser-Endodontie. Weitere Einsatzbereiche sollen anhand spezifischer Fallbeispiele aufgezeigt werden:

Erbium-YAG Laser System
Der Erbium Laser wird aufgrund seines Aussehens in unserer Praxis zärtlich E.T. genannt. Die hochkonzentrierte Lichtenergie des Erbium Laserstrahls hat eine Wellenlänge von 2940 nm (Nanometer: 1 millionstel Millimeter), liegt damit im infraroten Wellenspektrum und kann von unserem Auge nicht gesehen werden. Patient und Praxisteam tragen deshalb bei jeder Laserbehandlung Schutzbrillen.
Die Eigenschaft dieser Wellenlänge liegt darin, dass ihre Energie hauptsächlich im Wasser absorbiert wird, d. h. aufgenommen wird. Jedes Gewebe in unserem Körper enthält Wasser und kann somit mit dem Erbium Laser abgetragen werden. Auch unsere Zähne und unsere Knochen enthalten Wasser. Wasser wird durch Aufnahme der Laserenergie zum Verdampfen gebracht. Der Druck im Wasser enthaltenden Gewebe steigt dabei so stark an, dass in sog. "Mikroexplosionen" Zahnhartgewebe oder Knochen oder Weichteile abgetragen werden. Die durch das Verdampfen des Wassers entstandene Hitze wird dabei aber nicht auf das restliche Gewebe übertragen sondern mit den abgetragenen Gewebeteilchen entfernt.
Der grosse Unterschied zum herkömmlichen Zahnbohrer, der durch Rotation und unter unangenehmen Geräuschen von schleifenden und schneidenden Instrumenten unter Zahnkontakt Substanz abträgt, besteht darin , dass der Erbium Laser kontaktlos zum Zahn Substanz entfernt. Der E.T. ist der am häufigsten angewendete Laser in unserer Praxis.
Auch alle parodontalen Taschen werden in Kombination mit herkömmlicher Zahnsteinentfernung noch minimalinvasivst (keine Operationen) mit dem Erbium Laser, dem Diodenlaser und mit photodynamischer Therapie bearbeitet. Durch das sterile Arbeiten mit Lasern tut die Behandlung von parodontalen Taschen viel weniger weh und kostet zudem weniger als herkömmliche Taschentherapien mit Operationen.
Was kann der Erbium Laser?
1. Glatte Zahnhalsdefekte werden mit dem E.T präpariert und adhäsiv, zahnfarben gefüllt:


2. Verfärbte Schneidekanten werden mit dem E.T. präpariert und mit zahnfarbenem Komposit restauriert:


3. Nach Entfernung von Amalgamfüllungen mit dem konventionellen Bohrer wird die Zahnoberfläche immer mit dem E.T. nachbehandelt und sterilisiert:


4. Milchzähne werden nur mit dem E.T. behandelt (und vieles mehr).
Vorteile durch die Behandlung mit dem E.T.
Zusammenfassend kann gesagt werden, dass die konventionelle, adhäsive Füllungstechnik (Klebetechnik) in Kombination mit einer Präparation durch den Erbiumlaser das Optimum an derzeit möglicher konservierenden Zahnmedizin bietet - äusserst exakt, steril, schmerzarm.
Eine gute Mundhygiene beinhaltet die regelmässige und gründliche Entfernung von Speiseresten und Plaque, um Karies, parodontalen Erkrankungen und Mundgeruch vorzubeugen (siehe Kapitel Prophylaxe).
Die Photodynamische Therapie (PDT) ist eine neue nicht-invasive Behandlungsmethode. PDT beginnt dort, wo die konventionelle parodontale Therapie durch eine Dentalhygienikerin aufhört. Nach Zahnsteinentfernungen, Zahnfleischcürettagen etc. sind die pathogenen Bakterien immer noch im erkrankten Gewebe drin. Diese Bakterien werden bei der PDT mit einem lichtempfindlichen Farbstoff angefärbt, der das Laserlicht aufnehmen kann. Die so zugeführte Laserlichtenergie vermag Sauerstoff-Radikale zu bilden, welche die Bakterienzellwände gezielt erkennen und zerstören können.


Die Behandlung führt zu einer signifikanten Reduktion von pathogenen Bakterien, Viren und Pilzen. Die Wundheilung verläuft schneller und komplikationsloser. Für den Patienten ist die Therapie schmerzfrei und schonend. Auf die ansonsten oft notwendigen Antibiotika kann verzichtet werden.
Der Zahn besteht aus einer Zahnkrone und einer Wurzel, die mit einer oder mehreren Wurzelspitzen im Knochen verankert ist. Durch diese Wurzelspitzen treten die Blutgefässe und die Nerven in den Zahn ein - sie sorgen für die Versorgung des Zahnes und für das Temperatur- und Berührungsempfinden. Bei einer Wurzelbehandlung (siehe Kapitel Endodontie) wird das Zahnmark (Pulpa), also das Weichgewebe eines Zahnes, vollkommen bis zur Wurzelspitze (Apex) entfernt. Dies geschieht mittels extrem kleiner und feiner Feilen, welche den Wurzelkanal erweitern und es erlauben, die Pulpa auszuräumen.
Die durch die Ausräumung der abgestorbenen Pulpa entstandenen Hohlräume im Zahninneren werden dann mit einer sterilen Wurzelfüllpaste abgefüllt.
Krankmachende Keime und abgestorbenes Gewebe verbleiben im Wurzelkanalsystem, weil bei der üblichen Reinigung der Wurzelkanäle mit kleinen Feilen nur der Hauptkanal und nicht die ebenfalls von Bakterien besiedelten Verzweigungen und Nebenkanäle bearbeitet werden können.
Der Diodenlaser als Hardlaser setzt eben dort ein, wo die konventionelle Wurzelbehandlung nicht mehr weiter kommt: Das Diodenlaserlicht sterilisiert alle Seitenkanäle einer Zahnwurzel radial bis 2mm in die Tiefe. Eine ganz feine Lichtfaser wird in den herkömmlich aufbereiteten Wurzelkanal eingeführt und nach einem genauen, wissenschaftlich bewiesenen Protokoll sterilisiert das Laserlicht die Zahnwurzel von der Wurzelspitze bis zum Zahnmark. Es werden auch die hartnäckigsten Bakterien in den Seitenkanälen der Zahnwurzel abgetötet. Würden diese Bakterien überleben, kann ein Misserfolg der Wurzelbehandlung entstehen. In der Folge müsste, sofern der Zahn erhalten werden soll, die Wurzelspitze operativ chirurgisch abgetragen werden. Der Diodenlaser erweitert somit enorm das nicht-invasive, schmerzfreie Behandlungsspektrum in der Wurzelbehandlung.
Die Behandlung mit desinfizierenden Einlagen im Wurzelkanal entfällt oft. Die Wurzelkanäle können meistens in der ersten Sitzung gefüllt und der Zahn sofort versorgt werden.





Mit Laser-Zahnmedizin können einzelne Zähne aufgehellt werden. Mehr Informationen dazu finden sich im Kapitel Ästhetik - Bleaching.
Eine Frenektomie ist eine Lippenbändchen-Durchtrennung, welche oft vor kieferorthopädischen Eingriffen, manchmal aber auch bei extremer Ausprägung des Lippenbändchens nötig wird. Ein solches stark ausgeprägtes Lippenbändchen (Abb. 9) wurde bei einem 8 Jahre alten Kind mittels Laser durchgeführt (Abb. 10). Das Resultat direkt nach dem Eingriff (Abb. 11) zeigt sichtbar den minimalinvasiven Charakter der Behandlung mit dem Laser.



Das Vestibulum befindet sich zwischen den Wangen und den Zahnreihen. Ein Patient leidet an einem sehr tiefen Vestibulum auf der rechten Seite (Abb. 12). Mittels Laser-Zahnmedizin kann eine minimalinvasive Korrektur durchgeführt werden, bei der ein Teil des Vestibulums entfernt wird. Das Resultat 8 Tage nach der Operation ist sehr befriedigend (Abb. 13).


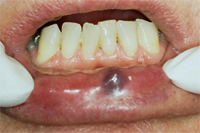
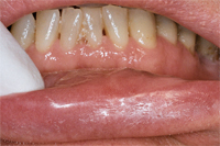
Die untere Bildserie beschreibt die Entfernung eines Hämangioms auf der Unterlippe eines 72 Jahre alten Patienten. Ein Hämangiom (Blutschwämmchen) ist ein embryonaler Tumor mit Endothelproliferation und sekundärer Ausbildung von Gefässlumen. Ein Herausschneiden war bei der gegebenen Grösse notwendig. Durch das Alter des Patienten und durch die empfindliche Lokalität des Hämangioms an der Lippe ist ein minimalinvasiver Eingriff mit schneller Wundheilung essentiell. Dies wird durch eine Laserbehandlung garantiert (Abb. 14-16).
Das herausgeschnittene Hämangiom wurde zwecks Untersuchung auf Malignität (bösartiger Tumor) ans Pathologische Institut der Uni Zürich geschickt. Es konnte als gutartig eingestuft werden.



Mit zunehmendem Alter, aber auch durch Unfälle oder schlechte Mundhygiene kann es zu Zahnverlusten kommen. Diese Verluste durch Ganz- oder Teilprothesen zu ersetzen ist das Behandlungsgebiet der Prothetik. Natürlich gibt es viele verschiedene Arten des Zahnersatzes, die jeweils Ihrer individuellen Situation angepasst sein müssen. Auch können wir auf Wüsche Ihrerseits eingehen, ob sie einen festsitzenden oder herausnehmbaren Zahnersatz wünschen.
Ebenfalls unter dem Thema Prothetik einzuordnen sind festsitzende Einzelkronen und Brücken, die wir aber als separates Kapitel Kronen und Brücken besprechen. Auch im Kapitel Implantologie finden Sie relevante Alternativen zur rein prothetischen Behandlung.
Zum generellen Ablauf einer prothetischen Behandlung kann kurz soviel gesagt werden: Als Zahnarzt nehmen wir Abdrücke von Ihrer aktuellen Gebiss-Situation. Die Abdrücke werden im Dentallabor mit Gips ausgegossen, wodurch Modelle der Gebissituation entstehen. Das Dentallabor fertigt dann nach unseren Vorgaben den Zahnersatz aus den gewünschten Materialien. In der Zahnarztpraxis wird die Passgenauigkeit überprüft und der Zahnersatz in Ihrem Mund dauerhaft befestigt.
Als Materialien für einen Zahnersatz stehen so verschiedene Dinge wie Edelmetall-Legierungen, Nicht-Edelmetall- Legierungen, Keramiken und Kunststoffe zur Verfügung. Gerne besprechen wir mit Ihnen die Einzelheiten und Eigenschaften aller möglichen Optionen, die Sie in einem konkreten Fall haben.


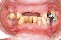
Ein 64 Jahre alter Patient wünscht eine Zahnsanierung (Abb. 1 und 2). Nach intensiver Abklärung des Zustandes der einzelnen Zähne der Restbezahnung sowie der Gesamtsituation (Abb. 3) und der Kostenzusammenstellung wurde folgende Therapie durchgeführt:


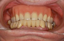
Ästhetisch wie auch funktionell entstand ein ausserordentlich schönes Resultat (Abb. 5 und 6).


Dieser 67 Jahre alte Patient trägt seit knapp dreissig Jahren im Oberkiefer eine Teilprothese, an die er sich restlos gewöhnt hat und die er eigentlich noch lange behalten möchte (Abb. 7).


Die Situation ist jetzt aber ungünstig geworden, da der alleinstehende Backenzahn auf der einen Seite stark wackelt (Abb. 8, weisser Pfeil). Dieser hat in den 30 Jahren einen viel grösseren parodontalen Schaden erlitten, als die gesamte Gruppe der eigenen Zähne auf der Gegenseite, die keine Parodontitis aufweisen.
Zur Unterstützung haben wir also auf der schwachen Seite ein Implantat mit Sinuslift gesetzt, welches wir viereinhalb Monate später mit einem Druckknopf versehen haben (Abb. 8 und 9). In die Teilprothese wurde als Gegenstück eine Druckknopfhülse eingebaut (Abb. 10).


Schon wenige Monate später wurde der stark wackelige Backenzahn dank Unterstützung des Implantates wieder fest. Dieses eine Implantat, gesetzt auf der schwächeren Zahnseite, stabilisiert nicht nur die Teilprothese, sondern verleiht auch der Restbezahnung eine sichere und langlebige Zukunft, sofern auch hier die Grundsätze der Prophylaxe und Mundhygiene eingehalten werden.
Solche Lösungen machen wir sehr häufig, sofern:
Diese Lösungen sind kostengünstig und weisen einen enorm hohen Kosten-Nutzen-Effekt auf. Der Patient trägt die Teilprothese während der ganzen Behandlungsdauer. Nur gerade beim Einbau der Druckknopfhülse ist die Prothese einen halben Tag beim Techniker zur Umarbeitung und Anpassung.
Und übrigens: Nach 30 Jahren war dies die erste Reparatur an der Teilprothese.
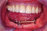
Dieser Fall zeigt eine seit Jahrzehnten gut bewährte Implantatsteglösung im zahnlosen Unterkiefer. Ohne diesen Steg würde die Prothese auf dem profilarmen Unterkiefer beim Sprechen und Essen instabil umherrutschen und das berüchtigte und unwürdige Prothesenklappern verursachen.
Bei diesem 79 Jahre alten, sehr aktiven Senioren haben wir zwei Implantate in der Eckzahnregion im Unterkiefer gesetzt. Zwei Monate später verbanden wir die Implantate starr mit einem Goldsteg (Abb. 11) und setzten die neue Prothese ein.
Die Abb. 12 zeigt die Unterkieferprothese mit Steghülse von innen. Im Mund eingesetzt hält die Prothese stabil und sicher (Abb. 13).



Bemerkung: Diese Art der Implantationsprothetik kann auch ohne Warte- und Einheilungsfrist absolut erfolgreich ablaufen,
d.h. am Morgen wird implantiert und abends desselben Tages die vorgängig angefertigte Prothese eingesetzt. Wir bevorzugen
aber ganz grundsätzlich den in diesem Fall eingeschlagenen Weg mit einer Einheilungszeit der Implantate und nachfolgender
Herstellung der neuen Prothese.
Warum: Beim Setzen eines Implantates wird man nach Aufklappung oft vor die Tatsache
gestellt, dass das Implantat aus Gründen des Knochenangebotes oder von Knochendefekten, die vor der Operation nicht festgestellt
werden können, eben nicht genau an dem geplanten Ort mit der geplanten Achse eingesetzt werden kann. Wenn der Techniker aber
die neue Prothese bereits mit der auf dem Modell vorgesehenen Implantatinsertion gefertigt hat, werden dann leider an der neuen
Prothese schon Schliffkorrekturen oder Änderungen notwendig.
Wird hingegen keine neue Prothese hergestellt, sondern eine bestehende, vom Patienten gut integrierte und gut erhaltene Prothese mit einer solchen Implantatsteglösung stabilisiert, wenden wir auch die Morgen-Abend-Technik an, da die bestehende Prothese sowieso einer Reparatur und Änderung zum Einbau der Steghülse unterzogen werden muss.
Kronen und Brücken sind prothetische Massnahmen des Zahnersatzes. Siehe dazu auch das Kapitel Prothetik. Wir wollen hier allerdings noch genauer auf die beiden Begriffe eingehen und anhand ausgesuchter Fälle erläutern.
Unter Kronen versteht man den festsitzenden Zahnersatz der klinisch sichtbaren Zahnkrone. Oder, wenn man es genauer nimmt, dann ist die Zahnkrone der obere Anteil eines Zahnes, der mit Zahnschmelz bedeckt ist, der härtesten im menschlichen Körper vorkommenden Substanz. Im allgemeinen Sprachgebrauch wird aber auch die künstliche Überkronung als Krone bezeichnet.
Künstliche Überkronung: Wenn bei einem "faulen" Zahn noch genügend eigene Zahnsubstanz vorhanden ist, dann kann ein Stumpfaufbau auf die verbliebene Zahnsubstanz modelliert werden. Zur sicheren Verankerung muss man manchmal stattdessen einen Stiftaufbau machen, das heisst ein in den Wurzelkanal reichendes Verankerungselement setzen. Kronen können metallbasiert sein oder metallfrei. Ausserdem spricht man auch von provisorischen Kronen, die als Übergangslösung vor der endgültigen Zahnsanierung dienen, und definitiv gefertigten Kronen.
Brücken sind ein festsitzender Zahnersatz, der über feste Kronen auf Pfeilerzähnen zementiert wird. Auf eine Brücke einwirkende Kräfte werden ausschliesslich von den Pfeilerzähnen aufgenommen. Eine Brücke besteht aus Kronen und Zwischengliedern. Die Kronen werden an den Brückenpfeilern befestigt; die Brückenzwischenglieder ersetzen die fehlenden Zähne. Als Brückenpfeiler kommen sowohl eigene Zähne in Frage, die zu Pfeilern geschliffen werden müssen, aber auch Implantate.
Die Materialfrage von Kronen und Brücken wird die Zahnärzte, die Forschung und die Patienten in Zukunft sehr beschäftigen. Es ist dies die Frage, ob der Zahnersatz für festsitzende Brücken metallfrei (Porzellan) oder Metallkeramik, d.h. auf einen Metallguss aufgebranntes Porzellan, sein soll. Die Metallkeramik ist eine zuverlässige Technik mit guten Langzeitresultaten. Metallfreie Einzelkronen können problemlos in der Front (Abb. 1) sowie im Seitenzahngebiet (Abb. 2) eingesetzt werden.



Kleinere Brücken mit maximal einem Zwischenglied im Seitenzahngebiet, wo die Kaukräfte axial auf die Zahnwurzeln einwirken, sind metallfrei vertretbar, obwohl wissenschaftlich noch keine Langzeitresultate (10 Jahre und mehr klinische Erfahrung) vorliegen. Hingegen würden wir Brücken in der Front, d.h. von Eckzahn zu Eckzahn - wie in Abb. 3, wo die zwei mittleren Frontzähne fehlen - als reine Porzellankonstruktion nicht zu konstruieren wagen, weil:
was das extrem harte, elastizitätsarme Porzellan zerspringen lassen könnte. Noch höhere Spannungskräfte entstehen bei Brücken, die das Seitenzahngebiet über den Eckzahn mit dem Frontsegment verbinden. Hier würden wir vorderhand von einer reinen Porzellanbrücke abraten. Dies alles sind Überlegungen, abgestützt auf einer langjährigen praktischen Erfahrung und Beobachtung. Unsere Empfehlungen sind auf jeden Fall, 10 Jahre klinische Ergebnisse solcher metallfreien Brückenkonstruktionen in den erwähnten Regionen, wissenschaftlich dokumentiert, abzuwarten!
Der Patient verlässt nach einer Kronen- oder Brückenbehandlung die Praxis ohne funktionelle oder ästhetische Einbussen. D.h., muss ein Zahn gezogen werden, wo es (nach Abheilen der Wunde) eine Brücke geben wird, bekommt der Patient in der gleichen Sitzung eine provisorische Kunststoffbrücke. Diese ist für die kurze Übergangszeit bis zur Herstellung der definitiven Brücke eine gute Übergangslösung, die sowohl funktionell wie auch ästhetisch mindestens gleichwertig ist wie die vorhergehende Situation.
Kommt der Patient mit einer schon länger bestehenden Lücke, die mit einer Brücke geschlossen werden soll, belassen wir im allgemeinen die Lücke bis zum Zementieren der definitiven Brücke
Bei diesem 67 Jahre alten Patienten mussten im Oberkiefer die zweithintersten, sehr stark gefüllten, abgefaulten und beherdeten (chronische Vereiterung an den Zahnwurzeln, Abb. 4) Zähne gezogen werden. Dadurch entstand eine grosse Lücke links und rechts. Diese Lücken, wie sie in Abb. 5 (weisse Pfeile) zu sehen sind, hätten auch mit einem Implantat geschlossen werden können. Da aber auch die Nachbarzähne vor und hinter der Lücke sehr stark gefüllt waren und einer Sanierung mittels einer Krone bedurften (Abb. 5, grüne Pfeile), haben wir uns nach Besprechung mit dem Patienten dazu entschlossen, die Lücken mit zwei viergliedrigen Brücke zu schliessen.
In derselben Sitzung, in der wir die beiden beherdeten Molaren gezogen haben, werden die zwei Zähne vor den entstandenen Lücken sowie jeweils der Zahn hinter den Lücken provisorisch zu Stümpfen (Brückenpfeiler) beschliffen (Abb. 5. grüne Pfeile). Wir stellen direkt im Mund eine provisorische Kunststoffbrücke her, die zementiert wird. Der Patient hat also während der Zeit der Behandlung nie eine Lücke im Mund.
Nach Abheilen der Wunde etwa zwei bis drei Monate nach Ziehen der beiden Backenzähne nehmen wir die provisorisch zementierte Kunststoffbrücke wieder heraus. Bei den zu überkronenden Zähnen vor und hinter den Lücken entfernen wir alle alten Füllungen sowie allfällige Karies und baue die definitiven Stümpfe mit Kompositfüllungen auf. Diese Kronenstümpfe werden zirkulär nach exakten Regeln beschliffen und abgeformt (Abb. 5). Die provisorischen Brücken werden an die neuen Stümpfe angepasst und wieder eingesetzt.



Die Abdrücke gehen zu unserem Zahntechniker ins Labor, der dort die Werkstücke, bestehend aus einem Goldguss, auf den Porzellan aufgebrannt wird, herstellt. Nach Einprobe dieser Werkstücke werden diese im Munde mit Zement fest - nicht abnehmbar - zementiert (Abb. 6). Damit diese zementierten Brücken, oder eben der festsitzende Zahnersatz, der die klinisch sichtbare Zahnkrone wiederherstellt, lange ihre Funktion erfüllen, müssen die Grundsätze der Mundhygiene und Prophylaxe befolgt werden. Halbjährliche Dentalhygienesitzungen sind hier unerlässlich.
Die Haare werden grau oder fallen sogar aus, man hört und sieht zunehmend schlechter, die Haut runzelt, die Gelenke versteifen, die Muskeln schwinden, das Gedächtnis lässt nach etc. etc. und
Das alles sind Alterungsprozesse. Was das Zahnfleisch und die Zähne hingegen betrifft, dürfen wir Sie - nach langjähriger zahnärztlicher Tätigkeit - beruhigen und versichern dass wir mit unserem Gebiet auf der Sonnenseite der therapeutischen Möglichkeiten stehen.
Wie schnell das Zahnfleisch beim Erwachsenen zurückgeht, hängt bei parodontitisfreiem Gebiss von genetischen, konstitutionellen Faktoren einerseits und Zahnbürsten-traumatischen Einflüssen anderseits ab. Ein Blick in den Mund des Patienten genügt, um festzustellen, ob es sich um einen genetisch bedingten, Zahnbürsten-traumatischen oder einen Zahnfleischrückgang als Kombination von beiden Ursachen handelt.
Der Zahnarzt beurteilt dann, ob therapeutisch-chirurgische Eingriffe nötig sind (s. Situation 1 unten) oder nur rein prophylaktische Massnahmen genügen (s. Situation 2 unten), den Zahnfleischrückgang zu stoppen oder zu verlangsamen. Geht das Zahnfleisch hingegen bei Jugendlichen zurück, läuten die Alarmglocken auf allen Stufen (s. Situation 3 unten).
Das Zahnfleisch zieht sich ganz generell dort zurück, wo wenig Knochen um die Zahnwurzel vorhanden ist (genetische Komponente). Und was für die eigene Zahnwurzel gilt, trifft noch in viel, viel bedeutsamerem Masse für die Implantate (die künstlichen Zahnwurzeln) zu. Deshalb sind für eine gute Langzeitprognose eines Implantates zwei Faktoren - von uns herstellbar, machbar - von entscheidender Bedeutung:
Ob eine Zahnfleischrezession operiert werden kann und welches Resultat dabei zu erwarten ist, erfahren Sie im Kapitel Mukogingivalchirurgie.
Um einen Zahnfleischrückgang zu verhindern oder bei genetischer Veranlagung, wo immer wenig Knochen um die Zahnwurzel vorhanden ist, zu verlangsamen, ist ein gesunder Zahnfleischkragen mit angewachsenem, verhorntem Zahnfleisch Voraussetzung. Fehlt dieser, greift unser therapeutisches Spektrum ein.
Anhand von zwei erwachsenen Patienten wollen wir den Zahnfleischrückgang bei sonst gesundem, parodontitisfreiem Zahnfleisch an überkronten Zähnen illustrieren. Da in unserer Praxis zum Zeitpunkt des Zementierens einer Krone oder Brücke der entsprechende, zirkuläre, schmale Goldrand der Krone (Abb. 7) immer etwa 1 mm unter dem Zahnfleisch verschwindet, also klinisch nicht mehr sichtbar ist (Abb. 8), kann ein im Verlaufe der Jahrzehnte resultierter Zahnfleischrückgang am Erscheinen des Goldrändchens der Metallkeramikkrone oberhalb des Zahnfleisches genau gemessen und dem Laienbetrachter optisch optimal gezeigt werden.


Am 1. Juni 1983 setzten wir im Unterkiefer rechts bei einer damals 44 Jahre alten Frau ein Implantat (Abb. 9). Zwei Monate vorher hatten wir ein freies Zahnfleischtransplantat in der ganzen Länge der zu konstruierenden Brücke einoperiert, um den notwendigen gesunden Zahnfleischkragen um die Pfeilerzähne zu bekommen.
Im September 1983 wurde die viergliedrige Brücke auf zwei eigenen Zähnen und dem Implantat festsitzend zementiert (Kronenränder wie oben gesagt unter dem Zahnfleisch). Knapp 23 Jahre später sind bei den eigenen Pfeilerzähnen (weisse Pfeile, Abb. 10) sowie dem Implantatzahn (grüner Pfeil, Abb. 10) die Kronenränder sichtbar.
Diese Zahnfleischrezession ist nicht pathologisch und die Brücke ist deswegen nicht gefährdet, weil alle Faktoren zu einem gesunden Fundament der Brückenpfeiler vorhanden sind:



Bei einer heute 71 Jahre alten Patientin wurden in den vergangenen 22 Jahren in regelmässigen Abständen Zähne im Oberkiefer überkront (1984, 88, 96, 99). Anhand der nun klinisch sichtbaren Kronenränder (Abb. 12, 13, 14) kann die Zahnfleischrezession genau gesehen und gemessen werden. Da aber ein gesunder Zahnfleischkragen vorhanden und eine gute Mundhygiene mit regelmässiger Zahnsteinentfernung gewährleistet ist sowie die übrigen Zähne taschenfrei sind, kamen in diesem Fall nur rein prophylaktische Massnahmen zum Einsatz:
Wir sind uns auch sicher, dass die Zahnfleischrezession im Oberkiefer links (Abb. 12) zum Stillstand gekommen ist: Sie ist seit mehreren Jahren stabil. Die Tatsache, dass der Eckzahn rechts (Abb. 13, weisser Pfeil) keine Zahnfleischrezession, der mittlere und der seitliche Schneidezahn links (Abb. 13, grüne Pfeile) in der gleichen Brücke aber einen deutlichen Zahnfleischrückgang aufweisen, zeigt, dass nebst einer genetischen Komponente auch ein Zahnbürsten-traumatischer Einfluss an der Zahnfleischrezession im Oberkiefer links verantwortlich war.



Aber auch in diesem Fall, wie auch in der Situation 1, bestehen wegen des leichten Zahnfleischrückganges in den Jahrzehnten nicht die geringsten Bedenken eines frühzeitigen Zahnverlusts, sofern das Fundament der Zähne keinen Schaden nimmt.
Ein 9 1/2-jähriges Mädchen hat eine Zahnfleischrezession an den unteren mittleren Schneidezähnen (Abb. 15). Zusammen mit der Mutter wird folgendes Vorgehen angeordnet, um ein weiteres Fortschreiten des Zahnfleischrückganges an diesen Zähnen zu verhindern:

Selbstverständlich wird dieses Mädchen halbjährlich zur Dentalhygienikerin kommen. Hier wird die Zahnfleischrezession regelmässig gemessen, die Qualität des Zahnfleisches beurteilt und entschieden, ob weitere prophylaktische oder chirurgisch-therapeutische Massnahmen nötig sind.
Unter zahnärztlicher Implantologie versteht man das Setzen von "künstlichen Zahnwurzeln" in den Kieferknochen. Diese "künstlichen Zahnwurzeln" haben die Form einer Schraube und bestehen aus reinem Titan. Ziel guter zahnärztlicher Implantologie ist es, diese Reintitanschrauben so in den Kieferknochen zu setzen, dass sie zirkulär von mindestens 1 mm gesundem Knochen umgeben sind, ästhetisch nicht stören und von gesundem, angewachsenem und verhorntem Zahnfleisch (siehe Mukogingivalchirurgie) umgeben sind.
Der riesengrosse Vorteil der Implantologie besteht unter anderem auch darin, dass eine Lücke mit einem festsitzenden Zahnersatz (zementiert oder verschraubt) geschlossen werden kann, ohne die gesunden oder bereits sanierten Nachbarzähne zu beschleifen.
Da der Kieferknochen leider sowohl in der Höhe (vertikal) wie auch der Breite (transversal) nicht immer in genügender Menge vorhanden ist, um die Implantatschraube dort zu setzen, wo der Implantatzahn stehen muss, gibt es heute für jeden Fall genügend Methoden den Knochen gleichzeitig mit dem Setzen des Implantates oder vor dem Setzen des Implantates aufzubauen (Knochenaugmentation). Aufgrund des Schwierigkeitsgrades solcher Eingriffe wird die zahnärztliche Implantologie weltweit übereinstimmend in drei Kategorien (SAC: S=simple, A=advanced, C=complex) eingeteilt. Zur Illustration zeigen wir Ihnen zwei Fälle, die wir in den letzten Jahren in unserer Praxis gemacht haben.
Bei der einfachen Implantologie ist der Kieferknochen sowohl in der Höhe wie in der Breite in genügender Menge vorhanden.
Standard in der Herstellung moderner Implantate ist die Verwendung von Reintitan im Gegensatz zur Orthopädie, die Titanlegierungen verwendet. Schon kurz nach dem zweiten Weltkrieg hatte man festgestellt, dass Titan sich biologisch neutral (bioinert) verhält und keine allergischen oder Fremdkörperreaktionen auslösen kann. Es stellt damit das ideale Material für das Einbringen in den Körper dar.
Die Eigenschaft des Titans, mit Sauerstoff eine schützende Oxidschicht auf seiner Oberfläche zu bilden, ist die Ursache für sein bioinertes Verhalten und damit seine besonders gute Verträglichkeit im Körper. Die Reaktion des Körpers ist so natürlich, dass der Kieferknochen direkt am Implantat anwächst und das Implantat als Teil des Körpers annimmt. Man nennt dies Osseointegration.
Ein aus der Kindheit stammender Milchzahn ohne Wurzeln im Seitenzahngebiet (Abb. 1), der eiterte und gezogen werden musste, hinterliess bei einer 37 Jahre alten Patientin eine grosse Lücke, aber gesunde Nachbarzähne. Um die Lücke mit einem festsitzenden Zahnersatz zu schliessen, setzen wir ein Zahnimplantat (Abb. 2 und 3). Das Setzen einer Zahnbrücke wäre ebenfalls möglich gewesen, hätte aber das Beschleifen der gesunden Nachbarzähne erfordert, was wir vermeiden wollten.



Sechs Wochen später, nach Einheilung des Implantates (Abb. 2), wird ein Aufbau aus Titan ins Implantat geschraubt (Abb. 3). Nach Abdrucknahme fertigt der Zahntechniker eine Krone an (in diesem Fall eine Vollporzellankrone), die auf dem Implantatpfosten einzementiert wird (Abb. 4). In Abb. 5 ist das Schlussröntgenbild zu sehen.


Treten während dem operativen Vorgehen Knochendefekte in der Höhe oder der Breite um die Implantatschraube auf, so dass der Grundsatz von 1 mm gesundem Knochen um das Implantat nicht mehr gegeben ist, wird der Knochendefekt entweder mit Eigenknochen aus der Umgebung des Operationsgebietes und/oder mit Knochenersatzmaterialien (Substituten) aufgebaut (Knochenaugmentation). Das Implantat heilt im allgemeinen geschlossen ein. Die postoperative Schwellung ist wesentlich grösser als bei der einfachen Implantologie. Der Patient hat die Grundsätze postoperativen Verhaltens zu befolgen: Einnahme der verordneten Medikamente, kalte Umschläge, Ruhe etc.
Fehlt der Knochen in der Höhe und in der Breite, um ein Implantat einer geforderten Mindestlänge und Mindestdurchmesser mit einem Millimeter gesundem Knochen zu umgeben, muss normalerweise vorgängig einer Implantation der Knochen aufgebaut werden. Im Unterkiefer arbeiten wir meistens mit autologen (vom Patienten entnommenen) Knochentransplantaten aus dem Kinn oder der Unterkiefermolarenregion. Im Oberkiefer kann es bei starkem Kieferschwund (Kieferatrophie) und speziell in der Front notwendig sein, mit autologen Knochentransplantationen zu augmentieren. Diese Knochenblocktransplantate werden mit Schrauben fixiert.
Bei grösseren Kieferkammrekonstruktionen muss für einen festsitzenden Zahnersatz immer auch mukogingivalchirurgisch eingegriffen werden.
Abb. 6 zeigt den Verlust eines unteren Milchzahnes bei einem 26 Jahre jungen Patienten. Gesunde Nachbarzähne veranlassen uns, ein Implantat vorzuschlagen und auf eine Brücke zu verzichten, welche das Beschleifen der Nachbarzähne nötig gemacht hätte. Stark erschwerend ist allerdings, dass im Röntgenbild von Abb. 6 ein grosser Knochenkrater sichtbar ist.


Abb. 7 zeigt, wie das Knochentransplantat aus dem Kinn fixiert wird, um den Knochenkrater zu füllen. Nach viermonatiger Einheilung (Abb. 8) setzen wir das Implantat.

| Ursprünglicher Verlauf des Kieferkammes | |
| Neuer Verlauf des Kieferkammes | |
| Gebiet zwischen gelber und grüner Linie: Knochenaufbau | |
Im Röntgenbild von Abb. 9 sieht man, dass dreieinhalb Jahre später absolut perfekte Knochenverhältnisse ums Implantat herrschen. Abb. 10 zeigt die klinische Situation dreieinhalb Jahre nach dem Zementieren der Implantatkrone.


Im hier geschilderten Fall einer beinahe 101 Jahre alten Frau erklären wir Ihnen die Versorgung eines zahnlosen Unterkiefers mit zwei Implantaten und einer direkten Eingliederung einer vor der Implantation angefertigten Vollprothese. Damit möchten wir zeigen, dass das Alter kein Hindernis für Zahnimplantate ist.
Die betagte Frau verliert am 25. April 2006 den letzten eigenen Unterkieferfrontzahn, der ihrer Prothese bisher noch einen gewissen Halt beim Kauen gegeben hat. Jetzt aber ist ein Kauen auf der haltlosen Unterkieferprothese unmöglich geworden. Da die Patientin geistig aktiv und wach ist, sowie körperlich ohne Gehhilfe zurecht kommt, haben wir uns zur Lösung des Problems für zwei Implantate im Unterkiefer entschieden.
Die neue Prothese wird vorgängig der Implantation angefertigt. Am 27. Mai 2006 haben wir die zwei Implantate mittels eines minimal-invasiven Eingriffes in den Unterkiefer einoperiert. Abb. 11 zeigt das Resultat direkt nach der Operation.


Vier Tage später wird der vom Techniker angefertigte Steg mit den Implantaten verbunden (Abb. 12) und die neue Prothese eingesetzt. Die Patientin hatte weder Schmerzen noch Schwellungen nach der Operation. Eine Woche später kommt die Patientin zur Nachkontrolle und ist total begeistert: "Die Prothese rutscht überhaupt nicht mehr umher und ich kann wieder alles essen. Ja, sogar abbeissen ist wieder möglich!" Die Steghülse, die auf dem Implantatsteg die Vollprothese festklemmt, ist eine sichere Garantie für stabilen Halt der Prothese.
Dieser kleine operative Eingriff bringt auch alten Patienten für die letzten Jahre ihres Lebens einerseits aussergewöhnlich hohen Kaukomfort und Kaugenuss, und anderseits wird mit einem guten Zahnersatz die Würde des Menschen erhalten.
Vier Monate nach Einsetzen der Implantate wird die Unterkieferprothese nochmals unterfüttert und perfekt auf den Kiefer eingepasst. Danach genügen halbjährliche kurze Kontrollen der Implantate, des Stegs und der Prothese. In Abb. 13 ist der Implantatsteg vier Monate nach der Operation sichtbar.
In Abb. 14 ist die Unterkieferprothese von innen photographiert. Die drei Steghüsen klemmen die Unterkiefervollprothese am Implantatsteg fest und können individuell stärker oder schwächer aktiviert werden. Der Patient muss einfach fähig sein, die Prothese selber zur Reinigung nach dem Essen aus dem Mund zu nehmen und sie anschliessend wieder einzusetzen.


Da Patienten oft wegen der grossen postoperativen Schwellungen keinen Zahnersatz (Prothese, Teilprothese) tragen können, ist die Terminierung solcher Behandlungen von entscheidender Wichtigkeit. Denn es ist notwendig, die medizinisch postoperativen, unausweichlichen Folgen solcher Eingriffe mit den sozialen Bedürfnissen des Patienten in Einklang zu bringen.
Lichtblick: Den Hauptanteil der postoperativen Schwellungen wird an der Entnahmestelle der zu transplantierenden Knochenstücke
verursacht (speziell vom Kinn) und nicht dort, wo die Knochentransplantate mit Schrauben fixiert werden.
Nun ist die Forschung daran,
solche "gezüchtete" Knochenstücke herzustellen, die anstelle des autologen Knochens zur Augmentation verwendet werden können.
Das hätte den Riesenvorteil, dass für einen Kammaufbau im Oberkiefer auf die zweite, hauptsächlich Schwellungen verursachende
Wunde z.B. im Kinn verzichtet werden könnte, was den Eingriff für den Patienten schon wesentlich leichter machen würde.
Unter einer Sinusbodenelevation – oder kürzer einem Sinuslift – versteht man den vertikalen knöchernen Kieferkammaufbau im Oberkieferseitenzahngebiet im Bereich der Kieferhöhlen (dem Sinus). Der Eingriff gehört in die komplexe Implantologie. Es geht dabei darum, sicherzustellen, dass beim Setzen von Implantaten im Oberkiefer vertikal genügend Knochen vorhanden ist, um lange und somit stabile Implantate zu setzen. Wird kein Sinuslift gemacht, ragen die Implantate eventuell in die Kieferhöhle. Dies bedeutet:
Sinusliftoperationen sowie andere zahnärztlich-chirurgische Eingriffe der komplexeren Art, bei denen Eigenknochen in irgend einer Form oder Knochenersatzmaterialen transplantiert werden, laufen in unserer Praxis unter speziellen hygienischen Vorkehrungen ab.
Die Implantate setzen wir gleichzeitig mit dem Sinuslift, sofern sie eine garantierte Primärstabilität bekommen. Oft kann dieser Entscheid nur während der Operation gefällt werden. Wenn immer möglich, nehmen wir für den Sinuslift auch Eigenknochen aus der näheren Umgebung des Operationsgebietes mit der gleichen Schnittführung. Je mehr Eigenknochen wir zur Transplantation einsetzen, desto schneller können die Implantate mit Kronen belastet werden. Fast immer aber braucht es für den Sinuslift einen Anteil Knochenersatzmaterial, sogenannte Knochensubstitute. Je höher der prozentuale Anteil im Transplantationsgemisch für den Sinuslift an Substituten einerseits und je geringer anderseits der ortsständige Eigenknochen ist, desto länger muss mit der definitiven Kronenversorgung abgewartet werden. An einem Beispiel sollen diese Zusammenhänge illustriert werden.
Bei einer 59 Jahre alten Frau muss wegen Wurzelbruchs und Vereiterung des ersten Brückenpfeilers (1. Zahn im Röntgenbild von Abb. 1 links) ein Zahn gezogen und das folgende Zwischenglied der Brücke rechts davon (schwarze Pfeile in Abb. 1) entfernt werden. Es entsteht im Oberkiefer links eine unschöne, ästhetisch sehr empfindliche Lücke von 14 mm.
In Abb. 2 sieht man, wie wir einen Sinuslift gemacht haben, um zwei Implantate setzen zu können. Dabei verwendeten wir ein Transplantationsgemisch mit 10% Eigenknochen und 90% Substitut. Der ortsständige Knochen beträgt beim ersten Implantat 12 mm (nur die Implantatspitze hätte in den ehemaligen Sinus geragt), beim zweiten Implantat 6 mm.


| Verlauf des Kieferhöhlenbodens vor Sinuslift | |
| Verlauf des Kieferkammes | |
| Gebiet zwischen gelber und grüner Linie: ortsständige Knochenhöhe | |
| Neuer Verlauf des Kieferhöhlenbodens | |
| Gebiet zwischen roter und grüner Linie: Knochenaufbau, Sinuslift | |
In Abb. 3 sind die zementierten Implantatkronen sieben Monate nach dem Sinuslift im Röntgenbild zu sehen. Die eigenen, bestehenden Kronen hinter den neuen Implantatkronen konnten somit gerettet werden. Abb. 4 zeigt das klinische, intraorale Resultat zwei Jahre nach der Behandlung und Abb. 5 das "happy smiling" der extraoralen Situation nach der Behandlung.


