Ästhetische Zahnmedizin: Fall 1, Verfärbungen
|
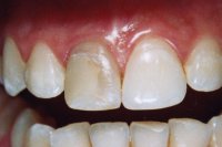
Ein rechter oberer, devitaler Schneidezahn bei einem 19-jährigen Mädchen ist stark verfärbt (Abb. 1).
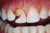
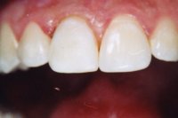
Der Zahn wird zuerst intern gebleicht, die alte Füllung unter Schonung der gesunden Eigensubstanz entfernt (Abb. 2) und dann mit einem weissen Zirkonoxydstift im Wurzelkanal und einer Kompositfüllung aufgebaut (Abb. 3). Der Zirkonoxydstift stabilisiert den Zahn gegen Bruch und erfüllt ästhetisch höchste Ansprüche.
|
|
|
|
|
| weiter zu Fall 2 --» | «-- zurück zu ästhetischer Zahnmedizin |


