Kronen und Brücken: Zahnfleischrückgang
(Zahnfleischrezessionen)
Die Haare werden grau oder fallen sogar aus, man hört und sieht zunehmend schlechter, die Haut runzelt, die Gelenke versteifen, die Muskeln schwinden, das Gedächtnis lässt nach etc. etc. und
Das alles sind Alterungsprozesse. Was das Zahnfleisch und die Zähne hingegen betrifft, darf ich Sie - nach 34 Jahren zahnärztlicher Tätigkeit - beruhigen und versichern dass wir mit unserem Gebiet auf der Sonnenseite der therapeutischen Möglichkeiten stehen.
Wie schnell das Zahnfleisch beim Erwachsenen zurückgeht, hängt bei parodontitisfreiem Gebiss von genetischen, konstitutionellen Faktoren einerseits und Zahnbürsten-traumatischen Einflüssen anderseits ab. Ein Blick in den Mund des Patienten genügt mir, um festzustellen, ob es sich um einen genetisch bedingten, Zahnbürsten-traumatischen oder einen Zahnfleischrückgang als Kombination von beiden Ursachen handelt.
Der Zahnarzt beurteilt dann, ob therapeutisch-chirurgische Eingriffe nötig sind (s. Situation 1 unten) oder nur rein prophylaktische Massnahmen genügen (s. Situation 2 unten), den Zahnfleischrückgang zu stoppen oder zu verlangsamen. Geht das Zahnfleisch hingegen bei Jugendlichen zurück, läuten die Alarmglocken auf allen Stufen (s. Situation 3 unten).
Das Zahnfleisch zieht sich ganz generell dort zurück, wo wenig Knochen um die Zahnwurzel vorhanden ist (genetische Komponente). Und was für die eigene Zahnwurzel gilt, trifft noch in viel, viel bedeutsamerem Masse für die Implantate (die künstlichen Zahnwurzeln) zu. Deshalb sind für eine gute Langzeitprognose eines Implantates zwei Faktoren - von uns herstellbar, machbar - von entscheidender Bedeutung:
- ein breiter, gesunder Knochenkragen um den Implantathals von mindestens 1 mm, besser 1.5 mm oder sogar 2 mm. Um dies zu garantieren, muss für eine Implantation aufgeklappt werden.
- ein breiter, gesunder, angewachsener und verhornter Zahnfleischkragen, der gegenüber Kau- und Reinigungskräften widerstandsfähig ist. Wo immer nötig, stelle ich diesen Zahnfleischkragen vor einer Implantation her. Warum? Sollten nach Implantation im Verlaufe des Lebens unerwarteterweise stressbedingte, exzessive Kräfte (z. B. nächtliches Zähneknirschen oder -pressen) den Knochenkragen um das Implantat abzubauen beginnen, bin ich sehr froh, den gesunden Zahnfleischkragen bereits vorzufinden, was sich günstig und stabilisierend auf die künstliche Implantatwurzel auswirkt.
Ob eine Zahnfleischrezession operiert werden kann und welches Resultat dabei zu erwarten ist, erfahren Sie im Kapitel Mukogingivalchirurgie.
Um einen Zahnfleischrückgang zu verhindern oder bei genetischer Veranlagung, wo immer wenig Knochen um die Zahnwurzel vorhanden ist, zu verlangsamen, ist ein gesunder Zahnfleischkragen mit angewachsenem, verhorntem Zahnfleisch Voraussetzung. Fehlt dieser, greift unser therapeutisches Spektrum ein.
Anhand von zwei erwachsenen Patienten will ich den Zahnfleischrückgang bei sonst gesundem, parodontitisfreiem Zahnfleisch an überkronten Zähnen illustrieren. Da in meiner Praxis zum Zeitpunkt des Zementierens einer Krone oder Brücke der entsprechende, zirkuläre, schmale Goldrand der Krone (Abb. 1) immer etwa 1 mm unter dem Zahnfleisch verschwindet, also klinisch nicht mehr sichtbar ist (Abb. 2), kann ein im Verlaufe der Jahrzehnte resultierter Zahnfleischrückgang am Erscheinen des Goldrändchens der Metallkeramikkrone oberhalb des Zahnfleisches genau gemessen und dem Laienbetrachter optisch optimal gezeigt werden.
|
|
|
Am 1. Juni 1983 setzte ich im Unterkiefer rechts bei einer damals 44 Jahre alten Frau ein Implantat (Abb. 3). Zwei Monate vorher hatte ich ein freies Zahnfleischtransplantat in der ganzen Länge der zu konstruierenden Brücke einoperiert, um den notwendigen gesunden Zahnfleischkragen um die Pfeilerzähne zu bekommen.
Im September 1983 wurde die viergliedrige Brücke auf zwei eigenen Zähnen und dem Implantat festsitzend zementiert (Kronenränder wie oben gesagt unter dem Zahnfleisch). Knapp 23 Jahre später sind bei den eigenen Pfeilerzähnen (weisse Pfeile, Abb. 4) sowie dem Implantatzahn (grüner Pfeil, Abb. 4) die Kronenränder sichtbar.
|
|
|
Diese Zahnfleischrezession ist nicht pathologisch und die Brücke ist deswegen nicht gefährdet, weil alle Faktoren zu einem gesunden Fundament der Brückenpfeiler vorhanden sind:
|
|
Bei einer heute 71 Jahre alten Patientin wurden in den vergangenen 22 Jahren in regelmässigen Abständen Zähne im Oberkiefer überkront (1984, 88, 96, 99). Anhand der nun klinisch sichtbaren Kronenränder (Abb. 6, 7, 8) kann die Zahnfleischrezession genau gesehen und gemessen werden. Da aber ein gesunder Zahnfleischkragen vorhanden und eine gute Mundhygiene mit regelmässiger Zahnsteinentfernung gewährleistet ist sowie die übrigen Zähne taschenfrei sind, kamen in diesem Fall nur rein prophylaktische Massnahmen zum Einsatz:
- richtige Zahnreinigungstechnik
- richtige Wahl der Zahnbürste
- Empfehlungen für Zahnpasten
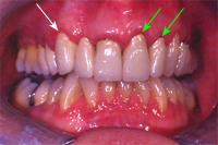
Ich bin mir auch sicher, dass die Zahnfleischrezession im Oberkiefer links (Abb. 6) zum Stillstand gekommen ist: Sie ist seit mehreren Jahren stabil. Die Tatsache, dass der Eckzahn rechts (Abb. 7, weisser Pfeil) keine Zahnfleischrezession, der mittlere und der seitliche Schneidezahn links (Abb. 7, grüne Pfeile) in der gleichen Brücke aber einen deutlichen Zahnfleischrückgang aufweisen, zeigt, dass nebst einer genetischen Komponente auch ein Zahnbürsten-traumatischer Einfluss an der Zahnfleischrezession im Oberkiefer links verantwortlich war.
|
|
|
|
Aber auch in diesem Fall, wie auch in der Situation 1, bestehen wegen des leichten Zahnfleischrückganges in den Jahrzehnten nicht die geringsten Bedenken eines frühzeitigen Zahnverlusts, sofern das Fundament der Zähne keinen Schaden nimmt (s. Kapitel Prophylaxe).
|
|
|
Ein 9 1/2-jähriges Mädchen hat eine Zahnfleischrezession an den unteren mittleren Schneidezähnen (Abb. 9). Zusammen mit der Mutter wird folgendes Vorgehen angeordnet, um ein weiteres Fortschreiten des Zahnfleischrückganges an diesen Zähnen zu verhindern:
|
|
Selbstverständlich wird dieses Mädchen halbjährlich zur Dentalhygienikerin kommen. Hier wird die Zahnfleischrezession regelmässig gemessen, die Qualität des Zahnfleisches beurteilt und entschieden, ob weitere prophylaktische oder chirurgisch-therapeutische Massnahmen nötig sind.
| weiter zur Übersicht --» | «-- zurück zu Tipps |








