Laser-Zahnmedizin: Fall 4, Hämangiom-Entfernung
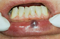
Die untere Bildserie beschreibt die Entfernung eines Hämangioms auf der Unterlippe eines 72 Jahre alten Patienten. Ein Hämangiom (Blutschwämmchen) ist ein embryonaler Tumor mit Endothelproliferation und sekundärer Ausbildung von Gefässlumen. Ein Herausschneiden war bei der gegebenen Grösse notwendig. Durch das Alter des Patienten und durch die empfindliche Lokalität des Hämangioms an der Lippe ist ein minimalinvasiver Eingriff mit schneller Wundheilung essentiell. Dies wird durch eine Laserbehandlung garantiert (Abb. 1-6).
Das herausgeschnittene Hämangiom wurde zwecks Untersuchung auf Malignität (bösartiger Tumor) ans Pathologische Institut der Uni Zürich geschickt. Es konnte als gutartig eingestuft werden.
|
|
|
|
|
|
|
|
|
| weiter zur Übersicht --» | «-- zurück zu Fall 3 |





