Endodontie: Fall 1 - konservative Wurzelbehandlungen
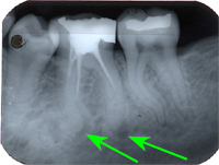
Ein 32 Jahre alter Mann kommt im November 1984 mit Zahnweh am unteren linken, zweithintersten Molaren (Backenzahn) in die Praxis. Das Röntgenbild von Abb. 1 zeigt insuffiziente Wurzelfüllungen bei allen drei Wurzelkanälen und an den Wurzelspitzen sogenannte Granulome, sichtbar als schwarze Flecken (grüne Pfeile in Abb. 1).
Therapie: Der Patient möchte den Zahn erhalten. In einem kurzen Gespräch erkläre ich die Ursache des Zahnwehs (insuffiziente Wurzelbehandlung) und die Behebung des Leidens mit folgenden Therapieschritten:
- Ausräumen der alten Wurzelfüllung mit mechanischen Instrumenten bis zur Wurzelspitze (Apex). Desinfizierende Einlagen.
- Sterile Wuzelfüllung aller Kanäle bis an die Wurzelspitzen des Zahnes (im Röntgenbild als weisse Linien in der Wurzelmitte sichtbar).
- Stabiler, kaufunktioneller Stiftaufbau zur Rekonstruktion des Zahnes und evtl. spätere Überkronung zur Vermeidung von Zahnhöckerbrüchen.
|
|
|
Gelingt es, die drei Ziele (schmerzfrei, entzündungsfrei, keimfrei) mittels der Wurzelbehandlung zu erreichen, werden die Zahngranulome innerhalb von sechs Monaten automatisch verschwinden und es bildet sich wieder gesunder Knochen um die Wurzelspitzen.
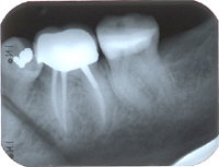
In Abb. 2 ist das Röntgenbild 22 Jahre nach korrekter Wurzelbehandlung mit dem nun überkronten Zahn zu sehen. Der Knochen um die Wurzelspitzen ist entzündungsfrei gesund.
Bemerkung:
Da in unseren Breitengraden Zahnwurzelfüllungen seit Jahrzehnten einen weissen Röntgenkontrast machen müssen, können suffiziente und insuffiziente Wurzelfüllungen im Röntgenbild leicht diagnostiziert werden.
- suffiziente Wurzelfüllung: die Wurzelfüllpaste reicht im Röntgenbild bis genau an die Wurzelspitze oder mindestens einen Millimeter vor den Apex (Wurzelspitze). (Es gibt aber Ausnahmen!)
- insuffiziente Wurzelfüllung: die als weisse Linie im Röntgenbild sichtbare Wurzelfüllung füllt den Zahnwurzelkanal nur teilweise und ist hauptverantwortlich für das Entstehen von Zahngranulomen (Zahnherde).
| weiter zu Fall 2 --» | «-- zurück zu Endodontie |

