Endodontie: Fall 2 - konservative Wurzelbehandlungen
Am 18. November 2005 kommt ein 26 Jahre junger Neupatient mit Zahnweh im Unterkiefer rechts in meine Praxis. Das Übersichtsröntgenbild (Abb. 1) zeigt am zweithintersten, schmerzhaften Backenzahn ein Riesenloch (Karies, s. grünen Pfeil in Abb. 1) bis ins Zahnmark (rot gestrichelt) sowie weitere Löcher in den drei Zähnen vor dem bereits wurzelbehandelten Zahn (dunkle Flecken, 1 grüner und 2 gelbe Pfeile in Abb. 1). Auf dieser seiner rechten Seite kann der Patient wegen der hohen Kälte- und Druckempfindlichkeit seit Wochen nicht mehr kauen.
Es besteht von Anfang an klinisch kein Zweifel, dass die Schmerzursache eine bereits bestehende Infektion des Zahnmarks (Pulpa) durch die Löcher ist. Um die Zähne zu erhalten, müssen sowohl der Backenzahn vor und hinter dem bereits wurzelbehandelten Zahn endodontisch behandelt werden.
In Abb. 2 sind die Wurzeln auf dem Röntgenbild dargestellt. Ebenfalls gut erkennbar sind die Nadeln, die ich zur Aufbereitung der Wurzelkanäle brauche.
In einem kurzen Gespräch zur Therapieempfehlung dieser Befunde muss auch der bereits in einer anderen Zahnpraxis früher wurzelbehandelte Zahn - leider insuffizient und beherdet - erörtert werden. Denn sollte es uns nicht gelingen, weder den Schmerzzahn noch den beherdeten Zahn bis an die Wurzelspitze korrekt zu behandeln und abzufüllen, müssten unter Umständen beide Zähne gezogen oder allenfalls operativ chirurgisch wurzelbehandelt werden (siehe Fälle 4 und 5).
|
|
|
Der junge Mann wollte seine Zähne unbedingt erhalten.
Abb. 3 zeigt ein Endometer, ein geniales, hochentwickeltes Gerät für Wurzelbehandlungen, welches über unsere Wurzelkanalinstrumente die Wurzelspitzen optisch auf einem kleinen Bildschirm und akustisch über Signale auf einen Zehntel Millimeter genau orten kann. Mit diesem Gerät können auch jene Wurzelkanäle bei oberen und unteren Backenzähnen, die auf dem Röntgenbild oft projektionsbedingt abgedeckt sind und somit schlecht dargestellt werden, perfekt gefüllt werden.
Das Endometer - dank meiner Tochter Vanessa seit Ende 2004 ständiger Begleiter in der täglichen Endodontie - in Kombination mit dem Röntgenbild hebt mit Sicherheit die Lanzeiterfolge wurzelbehandelter Zähne auf über 96%.
|
|
|
Auf dem Röntgenbild von Abb. 4 sieht man die drei von Vanessa perfekt abgefüllten wurzelbehandelten Backenzähne im Unterkiefer rechts. Ich bin sicher, dass auf dem Kontrollröntgenbild, welches wir gegen Ende 2006 von diesen Zähnen machen werden, das Granulom beim mittleren Zahn verschwunden sein wird. Falls das aber nicht eintreffen sollte, haben wir noch immer die Möglichkeit einer operativ-chirurgischen Wurzelbehandlung (siehe Fälle 4 und 5).
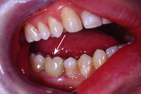
In Abb. 5 ist die orale Situation vor der Behandlung dargestellt. Zum Vergleich sieht man in Abb. 6 die Sanierung und Stiftaufbauten mit zahnfarbenem Füllungsmaterial und adhäsiver Füllungstechnik.
|
|
|
Mittlerweile ist der junge Patient - durch meine Tochter Vanessa behandelt (s. Kapitel Konservierende Zahnmedizin, Fall 3) und über die Zusammenhänge des Zahnzerfalls instruiert - zum "Weltmeister" in der Anwendung von Zahnseide geworden. Wenn es ihm gelingt, seinen hohen Standard in Mundhygiene und Zahnprophylaxe zu halten, können seine Zähne getrost einer gesunden Zukunft entgegensehen und seine grosse Angst vor dem Zahnarzt wird von halbjährlicher Kontrolle zu Kontrolle immer mehr verloren gehen.
| weiter zu Fall 3 --» | «-- zurück zu Fall 1 |





