Konservierende Zahnmedizin: Fall 3
Ein 26 Jahre junger Neupatient kam am 18. November 2005 mit Zahnweh in meine Praxis. Die Schmerzen waren rasch durch Wurzelbehandlungen behoben (s. Kapitel Endodontie, Fall 2).
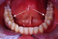
Der allgemeine zahnärztliche Check-up ergab nebst vielen anderen kariösen Zähnen zwei bis auf das Zahnfleisch abgefaulte Unterkiefermolaren (Abb. 1). Da die beiden Zähne wegen alten, insuffizienten Wurzelbehandlugen beherdet waren, hat meine Tochter Vanessa zuerst korrekte Wurzelbehandlungen durchgeführt (für die Bilder dazu s. Kapitel Endodontie, Fall 2). Danach folgte die Instruktion in Mundhygiene und Prophylaxe, da eine Wiederherstellung der Zähne grundsätzlich nur auf gesundem Fundament (s. Prophylaxe) und mit guter Mundhygiene langfristig Sinn macht.
Nach Erreichen dieser Ziele hat Vanessa die beiden "Stummel" in einer vierstündigen "Übung" mit viel Geduld und grossem handwerklichen Können mit Kompositfüllungen zu perfekten, absolut kaustabilen Zähnen rekonstruiert (Abb. 2).
|
|
|
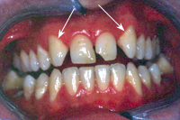
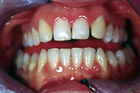
In der gleichen Sitzung hat sie dem Patienten auch die Oberkieferfront verschönert. Wegen eines genetisch angeborenen Defekts fehlen die seitlichen Schneidezähne; neben den mittleren Schneidezähnen folgen also direkt die spitzigen Eckzähne, wie in Abb. 3 gezeigt. Durch Ansetzen von Kompostifüllungen dank adhäsiver Technik wurden die Eckzähne formlich - ohne geringstes Beschleifen - zu natürlichen, seitlichen Schneidezähnen ummodelliert. Wie Abb. 4 zeigt, wurde dadurch der Schneidekantenverlauf viel harmonischer.
|
|
|
| weiter zu Tipps --» | «-- zurück zu Fall 2 |



