Konservierende Zahnmedizin: Fall 1
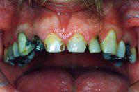
Ein 29 Jahre alter Patient war lange nicht mehr beim Zahnarzt gewesen und kam mit Weisheitszahnbeschwerden zu mir. Dieses Problem war rasch gelöst. Die Sanierung der restlichen Zahnprobleme nahm dann doch wesentlich mehr Zeit in Anspruch...
|
|
|
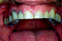
Die Sanierung einer Situation, wie sie in Abb. 1 gezeigt wird, wäre vor der Erfindung der Full Bond Füllungstechnik nur mit teuren Überkronungen lösbar gewesen. Mit der totalen adhäsiven Füllungstechnik aber können ganze Zähne absolut kaustabil und funktionstüchtig, ästhetisch zufriedenstellend und mit guten Langzeitresultaten auch für ein schmales Portemonnaie saniert werden (Abb. 2).
| weiter zu Fall 2 --» | «-- zurück zu Konservierende Zahnmedizin |

