Konservierende Zahnmedizin: Fall 2
|
|
|
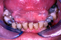
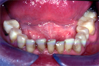
Die Situation eines 67 Jahre alten Patienten, dem ich im Verlaufe einer Zahnsanierung alle alten Amalgamfüllungen (s. Amalgamersatz) im Unterkiefer durch Komposite ersetzte, ist in den Abb. 1 vor und in Abb. 2 nach der Behandlung zu sehen. Möglich war dies nur dank der Full Bond Technik.
| weiter zu Fall 3 --» | «-- zurück zu Fall 1 |

