Sinuslift: Fall 3
Ein 66-jähriger Patient hat den Verlust des zweiten Prämolaren im Oberkiefer rechts zu beklagen. Die Nachbarzähne vor und hinter der entstandenen Lücke sind wurzelbehandelt und bereits überkront (s. Kronen und Brücken). Um die Lücke nach herkömmlicher Therapie mit einer festsitzenden dreigliedrigen Brücke zu schliessen, müssten die zwei gesunden, bestehenden Kronen geopfert werden. Ein Implantat bietet hier eine viel bessere und kostengünstigere Alternative.
|
|
|
|
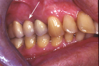
Da vertikal bei der Lücke zu wenig Eigenknochen vorhanden ist (Abb. 1), muss der Knochen mittels Sinuslift aufgebaut werden (Abb. 2). Das Resultat ist in Abb. 3 röntgenologisch und in Abb. 4 klinisch ersichtlich.
|
|
|
|
|
| weiter zu Fall 4 --» | «-- zurück zu Fall 2 |



