Implantologie: Fall 1 (simple)
|
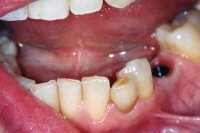
Ein Milchzahn ohne Wurzeln im Seitenzahngebiet (Abb. 1), der eiterte und gezogen werden musste, hinterliess bei einer 37 Jahre alten Patientin eine grosse Lücke, aber gesunde Nachbarzähne. Um die Lücke mit einem festsitzenden Zahnersatz zu schliessen, setze ich ein Zahnimplantat (Abb. 2 und 3). Das Setzen einer Zahnbrücke wäre ebenfalls möglich gewesen, hätte aber das Beschleifen der gesunden Nachbarzähne erfordert, was ich vermeiden wollte.
|
|
|
|
|
Sechs Wochen später, nach Einheilung des Implantates (Abb. 2), wird ein Aufbau aus Titan ins Implantat geschraubt (Abb. 3). Nach Abdrucknahme fertigt der Zahntechniker eine Krone an (in diesem Fall eine Vollporzellankrone), die auf dem Implantatpfosten einzementiert wird (Abb. 4). In Abb. 5 ist das Schlussröntgenbild zu sehen.
|
|
|
| weiter zu Fall 2 --» | «-- zurück zu einfacher Implantologie |




