Implantologie: Fall 5 (advanced)
|
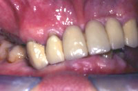
Ein 79 Jahre alter Mann wünschte sich auf den 80igsten Geburtstag, wieder mal richtig in ein Steak beissen zu können. Die Gebissituation war sehr ungünstig (Abb. 1) und so unangenehm, dass er zum Essen eine Aufbissschiene im Oberkiefer tragen musste (Abb. 2, 3), ansonsten er sich mit seinem eigenen oberen Eckzahn bei Kieferschluss in das Unterkieferzahnfleisch gebissen hätte(Abb. 4).
|
|
|
|
|
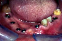
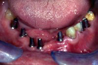
Im Unterkiefer habe ich einige parodontal schwer geschädigte Zähne gezogen und zwei Monate später sieben Implantate gesetzt, wobei bei einigen kleinere Augmentationen gemacht wurden (advanced implantology). Nach sechswöchiger Einheilung der Implantate (Abb. 5 und 6) wurden die Aufbauten in die Implantate eingeschraubt und die verschiedenen Brücken festsitzend zementiert.
|
|
|
Abb. 7 zeigt das Resultat im Unterkiefer nach der Sanierung. Im Oberkiefer läuft dieser Fall unter komplexer Implantologie als Fall 8 weiter.
|
|
|
| weiter zu komplexer Implantologie --» | «-- zurück zu Fall 4 |






