Implantologie: Fall 4 (advanced)
|
Eine 69 Jahre alte Patientin trug im Oberkiefer während Jahrzehnten eine abnehmbare Teilprothese (Klammerprothese) und wollte anstatt des "Gestells" einen festsitzenden Zahnersatz.
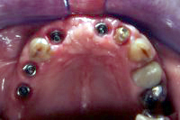
In der Front und im Seitenzahngebiet wurden je zwei Implantate gesetzt (Abb. 1). In der Front musste Knochen seitlich (transversal) und im Seitenzahngebiet vertikal (siehe Sinuslift, komplexe Implantologie) aufgebaut (augmentiert) werden.
|
|
|
|
|
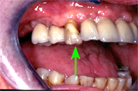
Die Teilprothese wurde während der Einheilphase der Implantate provisorisch getragen und jeweils angepasst. Die Patientin war nie ohne Zähne. Abb. 2 zeigt die dreigliedrige Fontbrücke auf zwei Implantaten zementiert und zwei Seitenzähne auf zwei Implantaten zementiert. Der eigene Eckzahn zwischen den beiden Implantatbrücken konnte erhalten werden (Abb. 3, grüner Pfeil).
In den Abb. 4 bis 6 ist der Vorgang des Sinuslifts anhand dreier Röntgenbilder selbsterklärend dargestellt.
|
|
|
|
|
|
|
| weiter zu Fall 5 --» | «-- zurück zu fortgeschrittener Implantologie. |





