Implantologie: Fall 11 (complex)
Ausgangssituation Ein 38 Jahre junger Mann hat sich am 14. August 2006 für eine Zweitmeinung zur Sanierung seines Gebisszustandes in meiner Praxis gemeldet. Zu einer Planungsbesprechung wird die Rekonstruktion und Wiederherstellung gesunder Zähne einerseits, aber auch alle vorbeugenden Massnahmen zur Gesunderhaltung der eigenen sanierten Zähne und des festsitzenden Zahnersatzes auf Implantaten besprochen.
Planung
- Behandlungsphase (konservativ):
- Zahnfleischsanierung (Zahnstein, Mundhygiene, Prophylaxe)
- Kariessanierung (neue Füllungen)
- Ziehen von vier nicht erhaltenswürdigen Zähnen
- Behandlungsphase (chirurgisch), zwei Monate später:
- Operation 1 - Sinuslift im Oberkieferseitenzahngebiet links und rechts und Setzen von je zwei Implantaten
- Zwei Monate später Operation 2 - Setzen eines Zahnimplantates in die Lücke im Unterkiefer rechts
- Eine Woche später: Operation 3 - Setzen von zwei Zahnimplantaten im Unterkiefer links
- Behandlungsphase, drei Monate später:
- Rekonstruktion der Oberkiefer- und Unterkieferbackenzähne mit festsitzend zementierten Brücken
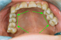
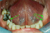
Behandlung und Resultat Die gesamte Behandlung verlief komplikationslos. Ziemlich genau fünf Monate nach der ersten Operation war die Sanierung des Gebisses am 5. April 2007 abgeschlossen. Abb. 1 und 2 zeigen die Situation im Oberkiefer vor und nach der Behandlung, Abb. 3 und 4 diejenige im Unterkiefer.
|
|
|
|
|
|
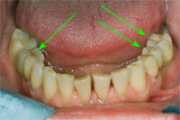
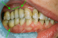
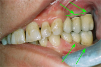
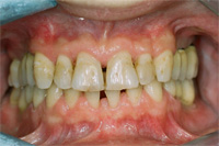
Die Abb. 5 bis 8 zeigen die Situation vor und nach der Sanierung im Seitenzahngebiet. Eine harmonische Verzahnung ist das - auch ästhetisch - sehr schöne Resultat der Karies- und Implantatsanierung. Eindrücklich geht der Unterschied durch die Behandlung aus den vorher-nachher-Bildern der Frontansicht von Abb. 9 und 10 hervor.
|
|
|
|
|
|
|
|
|
| weiter zu Implantate im Alter, Fall 1 --» | «-- zurück zu Fall 10 |









