Implantologie: Fall 2 (simple)
|
|
|
Ein eigener Seitenzahn dieses Patienten war so bis auf den Knochen abgefault, dass er gezogen werden musste.
Zwei Implantate, hier bereits eingeheilt und mit den eingeschraubten Aufbauten versehen, werden in einer auf den Millimeter genauen Distanz gesetzt, um eine dreigliedrige Brücke aus Metallkeramik aufzunehmen (Abb. 1) und so die Lücke zu schliessen, die durch das Ziehen des Zahnes entstanden ist. Dann wird die Metallkeramikbrücke zementiert (Abb. 2).
Dass dieser Fall vielleicht nicht ganz so einfach war, ergibt sich aus zwei Tatsachen:
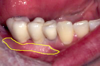
- Vorgängig der Implantation habe ich in dem zahnlosen Kieferabschnitt ein freies Gingivatransplantat verpflanzt (Abb. 1, 2, gelbe Umrandung) (siehe Kap. Mukogingivalchirurgie), um für die Implantatpfosten optimale Zahnfleischbedingungen zu erhalten.
- Auf den Röntgenbildern von Abb. 3 und 4 sieht man den Verlauf eines sensiblen Nerves im Unterkiefer-Knochen (rot hervorgehoben). Dieser Nerv versorgt unter anderem die Unterkiefer-Lippe sensibel und darf bei der Implantation nie verletzt werden. Um dieses Ziel zu erreichen, wird vor jeder Implantation im Unterkiefer-Seitenzahngebiet ein Röntgenbild mit einer Metallkugel von 5 mm Durchmesser gemacht, um die Höhe des Knochens bis zu diesem Nerv in etwa zu berechnen (Abb 3).
|
|
|
|
In diesem Fall wurde der bis auf den Knochen abgefaulte eigene Zahn rechts der im Röntgenbild weissen Metallkugel gezogen (Abb. 3). Die absolute, genaue Berechnung der Höhe des Knochens bis zu diesem Nerv erfolgt während der Operation mit sogenannten Tiefenmesslehren (Abb. 4). Damit ist es mir möglich, das längenmässig richtige Implantat optimal in den Knochen und ohne Risiko einer Verletzung für den Nerv zu setzen (Abb. 5).
|
|
| weiter zu Fall 3 --» | «-- zurück zu Fall 1 |




